Найти в Дзене

Пациенке 33 года, это ее шестая беременность. Предыдущие пять завершались кесаревым сечением.

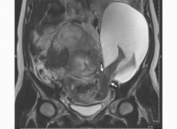
Пациентку ничего не беспокоило. При проведении УЗИ на 22-й неделе случайно обнаружили расхождение рубца на 2,5 см(полный спонтанный гистопатический разрыв матки), амниоцеле размерами до 19 см с ножками, а затем и другими частями плода. Не знаю, как поступили бы наши акушеры. Французы проинформировали пациентку и ее партнера о возможных рисках. А риски там - о-го-го! Как минимум "мы все умрем", включая полный разрыв матки, приращение плаценты, матки и преждевременные роды. Было принято решение пролонгировать беременность при тщательном контроле. Повторное УЗИ провели в 30 недель. Это тщательный контроль? Мы бы уже заузикали женщину до смерти! Разрыв матки увеличился до 5 см, в амниоцеле уже вывалилось полребенка. Наконец-то женщину прооперировали, извлекли живого недоношенного мальчика весом 1385 г. Матку зашили и оставили, выписали на пятые сутки в удовлетворительном состоянии. Это публикация французских акушеров-гинекологов от 22.12.16 года. Приходите дружить в Телеграм и ВК, там квиз

Пациентку ничего не беспокоило. При проведении УЗИ на 22-й неделе случайно обнаружили расхождение рубца на 2,5 см(полный спонтанный гистопатический разрыв матки), амниоцеле размерами до 19 см с ножками, а затем и другими частями плода.

Не знаю, как поступили бы наши акушеры. Французы проинформировали пациентку и ее партнера о возможных рисках. А риски там - о-го-го! Как минимум "мы все умрем", включая полный разрыв матки, приращение плаценты, матки и преждевременные роды.

Было принято решение пролонгировать беременность при тщательном контроле. Повторное УЗИ провели в 30 недель. Это тщательный контроль? Мы бы уже заузикали женщину до смерти! Разрыв матки увеличился до 5 см, в амниоцеле уже вывалилось полребенка. Наконец-то женщину прооперировали, извлекли живого недоношенного мальчика весом 1385 г.

Матку зашили и оставили, выписали на пятые сутки в удовлетворительном состоянии.

Это публикация французских акушеров-гинекологов от 22.12.16 года.

Приходите дружить в Телеграм и ВК, там квизы о здоровье, разбор клинических случаев и еще много всего интересного.