Добавить в корзинуПозвонить
Найти в Дзене
Старина Кох

Редкая штука

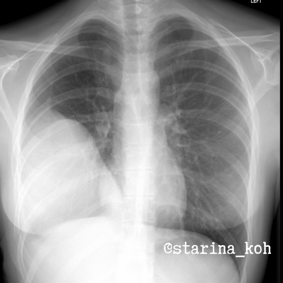
Сегодня у Старины - редкий случай опухоли грудной клетки! Молодая девушка 25 лет стала обращать внимание, что примерно во второй половине 2022 г. у нее появился дискомфорт, тяжесть в грудной клетке, а периодически и болевые ощущения справа, особенно при дыхании. В рамках проф. осмотра выполнили ФЛГ, где выявили крупное затемнение в проекции правого лёгочного поля (похоже и на осумкованный плевральный выпот и на образование). Врач в поликлинике в т.ч. рекомендовал исключить туберкулез (данные в дальнейшем не получены). Была выполнена КТ ОГК, где подозревали образование либо эхинококковую кисту. После проведения контрастного усиления идея про эхинококкоз отпала сама собой т.к. образование имело преимущественно солидное (плотное) строение. Была выполнена трансторакальная биопсия, в материале получены опухолевые клетки, подозрительные на мезотеолиому. Однако, врачи усомнились в таком диагнозе, т.к. опухоль имела преимущественно крупноузловое строение и не распространялась диффузно как

Сегодня у Старины - редкий случай опухоли грудной клетки!

Молодая девушка 25 лет стала обращать внимание, что примерно во второй половине 2022 г. у нее появился дискомфорт, тяжесть в грудной клетке, а периодически и болевые ощущения справа, особенно при дыхании. В рамках проф. осмотра выполнили ФЛГ, где выявили крупное затемнение в проекции правого лёгочного поля (похоже и на осумкованный плевральный выпот и на образование). Врач в поликлинике в т.ч. рекомендовал исключить туберкулез (данные в дальнейшем не получены).

Была выполнена КТ ОГК, где подозревали образование либо эхинококковую кисту. После проведения контрастного усиления идея про эхинококкоз отпала сама собой т.к. образование имело преимущественно солидное (плотное) строение. Была выполнена трансторакальная биопсия, в материале получены опухолевые клетки, подозрительные на мезотеолиому. Однако, врачи усомнились в таком диагнозе, т.к. опухоль имела преимущественно крупноузловое строение и не распространялась диффузно как мезотелиома. Был выполнен пересмотр препаратов еще в одном онкологическом учреждении, где дополнительно провели ИГХ-анализ и вынесли заключение о бифазной синовиальной саркоме (бифазные саркомы - сочетающие в своем строении два различных тканевых компонента и фенотипа).

-2
-3
-4

Интересно, что несмотря на такое название, убедительно связи с элементами синовия нет - происхождение опухоли так до сих пор четко не установлено, высказывают предположение об оболочке периферических нервов. Такие опухоли считаются достаточно агрессивными, но хорошо поддающимися химиотерапии. Более благоприятный прогноз у пациентов до 40 лет.

По данным КТ в правом гемитораксе - крупная опухолевая масса в средних и нижних отделах, на большем протяжении прилежит к грудной стенке/плевре, без четких границ с тканями, имеет солидное строение (контрастируется) с кистозными включениями, что особенно хорошо видно по данным МРТ.

-5
-6

Прилежащие отделы лёгкого компримированы, в плевральной полости - небольшое количество жидкости. При поступлении в онкологический стационар жалобы прежние, Sat02 - 96%, в анализах крови без отклонений. Выполнена операция - удаление опухоли (около 20 см), при котором обнаружена инвазия в нижнюю долю лёгкого и межреберные мышцы (доля легкого удалена, мышцы иссечены в пределах здоровых тканей), инвазия в диафрагму и структуры корня лёгкого не выявлена. Морфологически опухоль представлена бугристым узлом, серовато-желтым на разрезе, с кровоизлияниями, при повторной ИГХ - синовиальная саркома GIII. Пациентка выписана для подбора химиотерапии. По данным КТ с контрастированием, опухоль не характерна для мезотелиомы, а вот дифференцировать с солитарной фиброзной опухолью плевры возможно т.к. даже макроскопически эти опухоли похожи друг на друга.