Найти в Дзене
Parodoctor

Хирургические шаблоны и тотальная работа на 2-х челюстях.

Через какое время новая машина становится уставшей? А через 15-20 лет что с ней будет? Такой агрегат точно не назвать «сел и поехал».  Всё в мире стремится развалиться со временем. Но в стоматологии совсем другое дело. Человек хочет установить имплантат и жить с ним всю оставшуюся жизнь, долгую и счастливую. Жить так же, как жил всегда. Причём тут имплантат и машина?  При том, что это технически сложные устройства. И то, и то требует ТО, функционирует в агрессивной среде. Рассмотрим случай.  Пациент, 42 года, мужчина. Хронический генерализованный пародонтит тяжёлой степени тяжести. Свои зубы все под удаление, спасать нечего. Очаги хронической инфекции вокруг корней, кость как горный хребет – то пики, то склоны. Верхнечелюстные пазухи, канал нижнечелюстного нерва усложняют задачу хирургу – опасно близко к зоне планируемой установки имплантатов.  Выручает цифровое планирование и мозг хирурга.  Делаем в клинике 3Д КТ, 3Д сканирование, 2 недели планируем операцию, печатаем матрёшку из хи

Через какое время новая машина становится уставшей? А через 15-20 лет что с ней будет? Такой агрегат точно не назвать «сел и поехал». 

Всё в мире стремится развалиться со временем.

Но в стоматологии совсем другое дело. Человек хочет установить имплантат и жить с ним всю оставшуюся жизнь, долгую и счастливую.

Жить так же, как жил всегда.

Причём тут имплантат и машина? 

При том, что это технически сложные устройства. И то, и то требует ТО, функционирует в агрессивной среде.

Рассмотрим случай. 

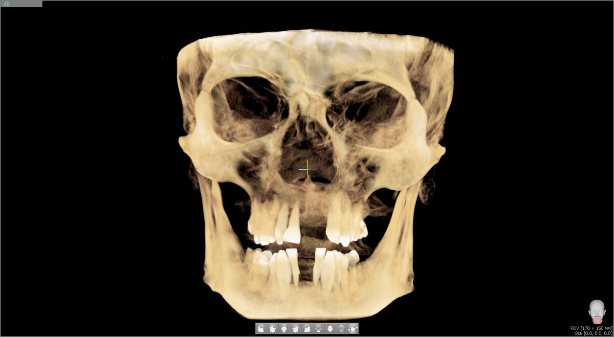
Пациент, 42 года, мужчина. Хронический генерализованный пародонтит тяжёлой степени тяжести. Свои зубы все под удаление, спасать нечего.

Ситуация до.
Ситуация до.

Очаги хронической инфекции вокруг корней, кость как горный хребет – то пики, то склоны. Верхнечелюстные пазухи, канал нижнечелюстного нерва усложняют задачу хирургу – опасно близко к зоне планируемой установки имплантатов. 

3Д КТ в виде, понятном для широкой аудитории.
3Д КТ в виде, понятном для широкой аудитории.
Другой ракурс.
Другой ракурс.

Выручает цифровое планирование и мозг хирурга. 

Делаем в клинике 3Д КТ, 3Д сканирование, 2 недели планируем операцию, печатаем матрёшку из хирургических шаблонов. На разных этапах операции нужен свой шаблон. Для упрощения задачи используем магнитное крепление.

В процессе имплантации контроль КТ – хирург проверяет мм до пазух, нерва. Докручивает. 

Имплантаты установлены в единственно верных участках и позициях, больше просто нет костных условий. 

Тотальная работа на 2х челюстях.
Тотальная работа на 2х челюстях.

Верх «всё на 4-х», низ «всё на 6-ти». Временные протезы.

На 3-й день после операции.
На 3-й день после операции.

Это очень сложное техническое устройство в полости рта пациента!

Очень качественно исполненное, очень продуманное. Пациент это понимает, он пришёл к этому осознанно, даже бросил курить.

-6

Очень надеюсь, что наш подход к имплантации поможет человеку наслаждаться конструкцией дольше, чем автомобилем.