Добавить в корзинуПозвонить
Найти в Дзене

ДВУСТОРОННИЙ НЕКРОЗ ГОЛОВОК БЕДРЕННЫХ КОСТЕЙ ПОСЛЕ КОВИДа

Контроль после протезирования тазобедренных суставов Уже писал статью об этом парне. В 32 года потерял оба тазобедренных сустава после КОВИДа. Некроз развился стремительно, ничего не помогло его остановить, несмотря на максимальные усилия отца. Год с лишним прошёл в борьбе, в результате - закономерное протезирование. Сегодня был контрольный осмотр - 3 месяца после замены левого сустава, и 1,5 - после правого. Всё идёт штатно. Пациент в целом режим соблюдал (не считая поездки с отцом на охоту на гусей на болота в резиновых сапогах), проходит дистанции до 10 тысяч шагов, плавает, крутит педали. В принципе, уже можно вести нормальный образ жизни. Нужно поработать над мышцами - они сильно атрофировались, особенно слева, и всё. Как будто не было ни КОВИДа, ни некроза. А суставы эти нас переживут, нет им износа. Не получается вставить видео, только ссылку: https://dzen.ru/video/watch/6467d952cb271658dbb562a0

Контроль после протезирования тазобедренных суставов

Уже писал статью об этом парне. В 32 года потерял оба тазобедренных сустава после КОВИДа. Некроз развился стремительно, ничего не помогло его остановить, несмотря на максимальные усилия отца. Год с лишним прошёл в борьбе, в результате - закономерное протезирование.

Хорошо видно, что обе головки бедренных костей не круглые. Кто не поленится, и полистает архив, сможет увидеть, как эти головки выглядят изнутри
Хорошо видно, что обе головки бедренных костей не круглые. Кто не поленится, и полистает архив, сможет увидеть, как эти головки выглядят изнутри

Сегодня был контрольный осмотр - 3 месяца после замены левого сустава, и 1,5 - после правого. Всё идёт штатно. Пациент в целом режим соблюдал (не считая поездки с отцом на охоту на гусей на болота в резиновых сапогах), проходит дистанции до 10 тысяч шагов, плавает, крутит педали.

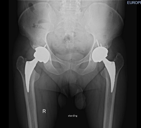
Теперь суставы выглядят вот так
Теперь суставы выглядят вот так

В принципе, уже можно вести нормальный образ жизни. Нужно поработать над мышцами - они сильно атрофировались, особенно слева, и всё. Как будто не было ни КОВИДа, ни некроза. А суставы эти нас переживут, нет им износа.

Не получается вставить видео, только ссылку:

https://dzen.ru/video/watch/6467d952cb271658dbb562a0