Добавить в корзинуПозвонить
Найти в Дзене

Чистка зубов может быть разной

Вы можете подстроить её под особенности ваших зубов и десен и снизить риск заболеваний Обычно у нас с детства закреплена одна схема: взяли щетку, выдавили пасту, прошлись, сполоснули рот и побежали. И какие бы изменения во рту ни происходили, мы продолжаем повторять один и тот же ритуал. Из года в год. Но состояние десен и зубов меняется, а значит должен меняться подход к чистке. Индивидуальная гигиена зависит от ситуации во рту. 🟦1. При заболеваниях десен (гингивит, пародонтит) Без правильной домашней гигиены десны не успокоятся, воспаление будет вспыхивать вновь и вновь, нарастать и в итоге может привести к полной капитуляции пародонта. Он скажет: Всё! Не могу больше держать зубы, простите. Если дёсны не самое сильное место у вас во рту, выбирайте лечебно-профилактические пасты с антимикробными, противовоспалительными и увлажняющими веществами, а щетки ー с мягкой щетиной. Будет вообще хорошо, если вы на постоянной основе подружитесь с зубными ершиками. Они очищают межзубной про

Вы можете подстроить её под особенности ваших зубов и десен и снизить риск заболеваний

Обычно у нас с детства закреплена одна схема: взяли щетку, выдавили пасту, прошлись, сполоснули рот и побежали. И какие бы изменения во рту ни происходили, мы продолжаем повторять один и тот же ритуал. Из года в год.

Но состояние десен и зубов меняется, а значит должен меняться подход к чистке. Индивидуальная гигиена зависит от ситуации во рту.

🟦1. При заболеваниях десен (гингивит, пародонтит)

Без правильной домашней гигиены десны не успокоятся, воспаление будет вспыхивать вновь и вновь, нарастать и в итоге может привести к полной капитуляции пародонта. Он скажет: Всё! Не могу больше держать зубы, простите.

Если дёсны не самое сильное место у вас во рту, выбирайте лечебно-профилактические пасты с антимикробными, противовоспалительными и увлажняющими веществами, а щетки ー с мягкой щетиной. Будет вообще хорошо, если вы на постоянной основе подружитесь с зубными ершиками. Они очищают межзубной простанство непостредственно возле десны.

Лечение пародонтита
Лечение пародонтита

🟦 2. При повышенной чувствительности эмали.

Исключаем любую дополнительную травматизацию. То есть щетка и паста должны быть максимально «обходительны» с вашими зубами.

Выбираем зубную пасту, которая с помощью специальных микрочастиц будет «встраиваться» в структуру эмали и укреплять ее. Мы рекомендуем Biorepair Plus Sensitive Teeth.

Хорошо добавить в свою гигиену специальные ополаскиватели от гиперестезии и  проводить курсы реминерализации.

🟦3. Если во рту есть коронки, виниры, импланты, мосты.

Ортопедические конструкции не могут «заболеть кариесом», им не страшен пульпит, но недочищенный зубной налет способен навредить мягким тканям вокруг них. А это может повлиять на эксплуатацию.

Значит наша задача с помощью гигиены продлевать жизнь ваших коронок и имплантов, поэтому, помимо качественной щетки и пасты, мы подключаем все инструменты, которые справляются с налетом: нить, ершик, ирригатор.

🟦 4. Если во рту стоят брекеты.

Брекеты ー причина превратить гигиену в культ. Любые ортодонтические конструкции с их креплениями и загогулинами ー шикарное место для бактерий всех мастей. Они кучкуются и выделяют агрессивную для эмали кислоту. Из-за плохой гигиены иногда вообще приходится снимать систему и останавливать лечение. Но всё будет хорошо, если вы при каждой чистке используете, плюс к щетке и пасте, мнонопучковую щетку, ершики, ирригатор, нить с твердым концом.

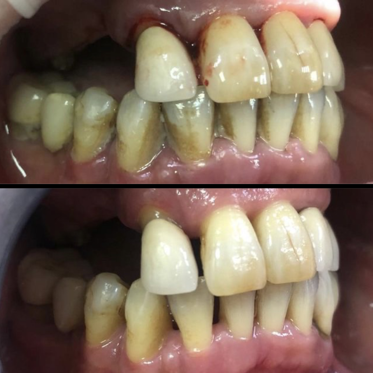
Результаты проф гигиены
Результаты проф гигиены

👌Гигиена ー это самый надежный, простой и доступный способ профилактики.

Наши врачи проводят для пациентов индивидуальные уроки по гигиене и составляют персональные рекомендации. Вам остается только купить всё по списку и применять по инструкции. Не нужно тратить время на эксперименты и форумы.

Приходите на гигиеническую чистку и наш специалист составит для вас оптимальный уход с учетом всех особенностей зубов и десен.

Клиника AX_dent, Москва

Цветной бульвар, 24к2

Звоните по номеру +7 (495) 135-35-36