Добавить в корзинуПозвонить
Найти в Дзене

Увеличенные лимфоузлы: ошибка на этапе диагностики. Случай из практики.

Прежде всего хочу подчеркнуть: я пишу этот пост не для того, чтобы сказать, что кто-то молодец, а кто-то не молодец. Я хочу донести конкретную информацию о том, как можно снизить риск ошибок при диагностическом поиске у пациента с лимфаденопатией (увеличенными лимфоузлами). О том, как проходит диагностический поиск при лимфаденопатии, я писала здесь. Итак, на приеме 19-летний пациент. Жалобы на: Лимфаденопатия и остальные вышеописанные жалобы появились примерно за полгода до того, как парень обратился к нам. За месяц до нашей консультации в одной из московских клиник была выполнена трепанобиопсия - взяли небольшой кусочек шейного лимфоузла с помощью специальной иглы. Биопсия не выявила отклонений. Спустя месяц после биопсии самочувствие пациента не улучшилось, лимфоузлы не уменьшались в размерах. Теперь перечислим, что из "настораживающих" знаков имелось у нашего пациента. В-симптомы включают: общую слабость, необъяснимую потерю массы тела (более, чем на 10% от исходной за 6 месяцев
Оглавление

Прежде всего хочу подчеркнуть: я пишу этот пост не для того, чтобы сказать, что кто-то молодец, а кто-то не молодец. Я хочу донести конкретную информацию о том, как можно снизить риск ошибок при диагностическом поиске у пациента с лимфаденопатией (увеличенными лимфоузлами).

О том, как проходит диагностический поиск при лимфаденопатии, я писала здесь.

Итак, на приеме 19-летний пациент. Жалобы на:

  • наличие увеличенных шейных, подмышечных, над- и подключичных лимфоузлов
  • повышенную утомляемость
  • потливость (проливные поты по ночам)
  • высыпания на коже
  • потерю массы тела на 5-6 кг за 3-4 месяца
Примерно так это выглядело (фото не мое, взято из Интернета)
Примерно так это выглядело (фото не мое, взято из Интернета)

Лимфаденопатия и остальные вышеописанные жалобы появились примерно за полгода до того, как парень обратился к нам.

За месяц до нашей консультации в одной из московских клиник была выполнена трепанобиопсия - взяли небольшой кусочек шейного лимфоузла с помощью специальной иглы. Биопсия не выявила отклонений.

Спустя месяц после биопсии самочувствие пациента не улучшилось, лимфоузлы не уменьшались в размерах.

Теперь перечислим, что из "настораживающих" знаков имелось у нашего пациента.

  1. Так называемые В-симптомы, характерные для серьезных гематологических (и не только) заболеваний.
В-симптомы включают: общую слабость, необъяснимую потерю массы тела (более, чем на 10% от исходной за 6 месяцев), необъяснимую лихорадку, потливость (особенно проливные поты по ночам), кожный зуд, кожную сыпь.

2. Увеличенные лимфоузлы. Особенно настораживало наличие увеличенных над- и подключичных лимфоузлов. По УЗИ (благодарность нашему крутому специалисту УЗИ-диагностики) - внутренняя структура лимфоузлов резко нарушена, что оптимизма определенно не добавило.

  • Суммарно - у парня имеется клиническая картина, подозрительная на лимфопролиферативное заболевание, то есть лимфому.

Что же не так? Ведь уже была выполнена биопсия лимфоузла, и никакой лимфомы не оказалось.

Дело в том, что при биопсии лимфоузла есть основное и очень важное правило.

  • Лимфоузел для исследования нужно брать целиком!

Это называется эксцизионая биопсия.

Да, это технически сложнее, чем пункция или трепанобиопсия, но эксцизионная биопсия позволяет значительно снизить риск ложно-отрицательных результатов.

Итог

Пациенту была выполнена эксцизионая биопсия надключичного лимфоузла, которая показала лимфому Ходжкина.

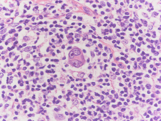
Крупная клетка в центре очень характерна для лимфомы Ходжкина. Таких клеток в пораженном лимфоузле может быть немного, поэтому, если брать для биопсии лимфоузел не целиком, то можно просто "не попасть" в пораженную зону и, соответственно, пропустить лимфому
Крупная клетка в центре очень характерна для лимфомы Ходжкина. Таких клеток в пораженном лимфоузле может быть немного, поэтому, если брать для биопсии лимфоузел не целиком, то можно просто "не попасть" в пораженную зону и, соответственно, пропустить лимфому

К счастью, прогноз у парня достаточно благоприятный, отсрочка в несколько месяцев не усугубила ситуацию, сейчас он в процессе лечения. Однако понятно, что могло быть и хуже (и бывает довольно часто, к сожалению).

Раз уж мы заговорили о лимфоузлах, как-нибудь опишу другой интересный случай, связанный с затруднениями в диагностике у пациента с лимфаденопатией.

Всем здоровья.