Найти в Дзене
Мedical Insider

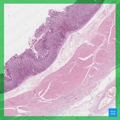
Клетки желудка: типы и функции

Желудок — это мышечный орган, расположенный в верхней части брюшной полости, являющийся частью пищеварительной системы. Различные клетки желудка выделяют пищеварительные ферменты и соляную кислоту. Эти вещества расщепляют пищу, чтобы организм мог усваивать питательные вещества. Клетки желудка постоянно подвергаются воздействию пищеварительных соков и содержимого желудка. Поэтому, чтобы защитить себя, клетки вырабатывают слой слизи и постоянно регенерируют, чтобы сохранить слизистую оболочку желудка здоровой. Области желудка Желудок состоит из четырех областей: Слои стенки желудка Помимо различных областей, желудок также имеет четыре слоя ткани. От внешнего слоя до внутреннего, это: Серозная оболочка: самый внешний слой желудка. Он состоит из тонкого слоя соединительной ткани, который помогает удерживать желудок на месте. Мышечный слой: состоит из гладкой мускулатуры. Мышечные сокращения помогают перемешивать и взбивать пищу. Подслизистая оболочка: Подслизистый слой располагается под сл
Оглавление

Желудок — это мышечный орган, расположенный в верхней части брюшной полости, являющийся частью пищеварительной системы. Различные клетки желудка выделяют пищеварительные ферменты и соляную кислоту. Эти вещества расщепляют пищу, чтобы организм мог усваивать питательные вещества. Клетки желудка постоянно подвергаются воздействию пищеварительных соков и содержимого желудка. Поэтому, чтобы защитить себя, клетки вырабатывают слой слизи и постоянно регенерируют, чтобы сохранить слизистую оболочку желудка здоровой.

Области желудка

Желудок состоит из четырех областей:

  1. Дно: верхняя округлая часть желудка
  2. Кардиальный отдел: область, соединяющая желудок с пищеводом
  3. Тело: основная центральная часть
  4. Привратник (пилорическая часть): нижняя узкая часть

Слои стенки желудка

Помимо различных областей, желудок также имеет четыре слоя ткани. От внешнего слоя до внутреннего, это:

Серозная оболочка: самый внешний слой желудка. Он состоит из тонкого слоя соединительной ткани, который помогает удерживать желудок на месте.

Мышечный слой: состоит из гладкой мускулатуры. Мышечные сокращения помогают перемешивать и взбивать пищу.

Подслизистая оболочка: Подслизистый слой располагается под слизистой оболочкой и состоит из соединительной ткани и кровеносных сосудов, которые обеспечивают питательными веществами слизистую оболочку.

Слизистая оболочка: Самый внутренний слой — это слизистая оболочка. Внутренний слой вступает в контакт с пищей, когда она попадает в желудок, и отвечает за секрецию пищеварительных ферментов и соляной кислоты. Слизистая оболочка имеет складки, увеличивающие площадь поверхности, доступную для поглощения питательных веществ.

Слизистая оболочка далее подразделяется на поверхностный эпителий, собственную пластинку и мышечную слизистую оболочку.

Типы клеток желудка

Эпителий складывается в собственную пластинку, которые содержат следующие клетки:

  • поверхностные слизистые клетки (фовеолярные клетки)
  • париетальные клетки
  • главные клетки
  • нейроэндокринные клетки

Поверхностные слизистые (добавочные) клетки

Слизистая оболочка желудка выстилает желудок и содержит желудочные железы, которые выделяют различные вещества. Поверхность желудка и отверстия желудочных ямок имеют один слой столбчатых эпителиальных клеток, известных как поверхностные слизистые клетки или фовеолярные клетки. Эти клетки выделяют толстый слой слизи, который покрывает слизистую оболочку желудка и защищает его от пищеварительных соков. Слизь также обеспечивает скользкую поверхность, которая помогает пище перемещаться по желудку. Клетки поверхностной слизистой постоянно регенерируются, поэтому слизистая оболочка желудка всегда защищена.

Париетальные клетки

Париетальные (обкладочные) клетки желудка в основном располагаются в верхней части желудка, или на дне. Они выделяют соляную кислоту, которая помогает расщеплять пищу. Соляная кислота также убивает бактерии и другие микроорганизмы, которые могут присутствовать в пище. В дополнение к выделению соляной кислоты эти клетки выделяют белок, известный как внутренний фактор. Внутренний фактор помогает организму усваивать витамин В12 в тонком кишечнике.

Главные клетки

Главные клетки (синонимы: зимогенные клетки, главные гландулоциты) локализуются в проекции дна желудка. Они выделяют пищеварительные ферменты, которые помогают расщеплять пищу. Главные клетки выделяют пепсиноген. Он превращается в пепсин в присутствии соляной кислоты. Пепсин помогает расщеплять белки на мелкие частицы, известные как полипептиды.

Нейроэндокринные клетки

Существует несколько подтипов, которые выделяют различные гормоны:

G-клетки: локализуются в области привратника желудка и вырабатывают гормон гастрин. Гастрин может увеличивать выработку соляной кислоты, стимулируя ECL-подобные клетки к высвобождению гистамина.

ECL-подобные клетки: эти клетки вырабатывают гистамин, когда их стимулирует гастрин. Гистамин связывается с рецепторами на париетальных клетках и увеличивает секрецию соляной кислоты. Эти клетки существуют главным образом на дне желудка.

D-клетки: располагаются в привратнике желудка. Они выделяют ингибирующую молекулу, называемую соматостатином. Когда кислотность желудка достигает определенного уровня, D-клетки выделяют соматостатин, который затем подавляет гастрин и общую выработку желудочной кислоты.

EC-клетки: эти клетки выделяют серотонин. Серотонин участвует в регуляции перистальтики желудочно-кишечного тракта и секреции жидкости.

Клетки P/D1: Эти клетки выделяют гормон грелин. Грелин — это гормон голода, который повышает аппетит и способствует накоплению жира.

Заключение

Клетки желудка высоко специализированы и выполняют различные функции. Поверхностные слизистые клетки выделяют слой слизи, который защищает слизистую оболочку желудка. Париетальные клетки выделяют соляную кислоту, которая помогает расщеплять пищу, и внутренний фактор, способствующий усвоению витамина В12. Главные клетки выделяют ферменты, которые поддерживают пищеварение. Нейроэндокринные клетки выделяют различные гормоны, которые регулируют кислотность желудка, чувство голода и перистальтику желудочно-кишечного тракта. Каждый тип клеток работает сообща, чтобы гарантировать, что желудок может эффективно переваривать пищу и защищать себя от вредных веществ.

Статья по теме: Боль в желудке после алкоголя — что нужно знать.

Наука
7 млн интересуются