Найти в Дзене
Биореактор

Бактерии для похудения

Нет, название – не шутка. Действительно существуют бактерии, которые помогают набрать или сбросить вес без СМС и регистрации. Зовут их бактероидеты (тип Bacteroidetes) и фирмикуты (тип Firmicutes).
Живут они в человеческом организме по соседству друг с другом и составляют 95% всей микрофлоры кишечника. Они не враждуют и не соревнуются между собой, а вот ведут себя абсолютно по-разному.
Бактероидеты любят белковую пищу и помогают ей усваиваться в организме. А фирмикуты обожают еду, богатую жирами и углеводами.
Учёные решили провести исследование изменения соотношения бактероидетов к фирмикутам у разных людей в зависимости от различных диет.
Выяснилось, что при активном наборе веса за счёт потребления жирной пищи и сладкого, у людей возрастает количество фирмикутов, а количество бактероидетов уменьшается. И наоборот, когда человек сбрасывает вес, бактероидетов в его организме становится больше, а фирмикутов меньше. Казалось бы, что тут удивительного? Микрофлора реагирует на то, что мы

Нет, название – не шутка. Действительно существуют бактерии, которые помогают набрать или сбросить вес без СМС и регистрации. Зовут их бактероидеты (тип Bacteroidetes) и фирмикуты (тип Firmicutes).

Живут они в человеческом организме по соседству друг с другом и составляют 95% всей микрофлоры кишечника. Они не враждуют и не соревнуются между собой, а вот ведут себя абсолютно по-разному.

Бактероидеты любят белковую пищу и помогают ей усваиваться в организме. А фирмикуты обожают еду, богатую жирами и углеводами.
Учёные решили провести исследование изменения соотношения бактероидетов к фирмикутам у разных людей в зависимости от различных диет.


Выяснилось, что при активном наборе веса за счёт потребления жирной пищи и сладкого, у людей возрастает количество фирмикутов, а количество бактероидетов уменьшается. И наоборот, когда человек сбрасывает вес, бактероидетов в его организме становится больше, а фирмикутов меньше.

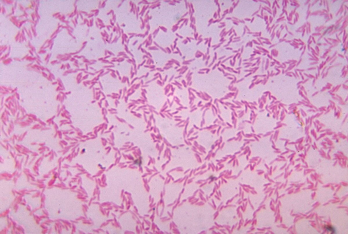
Бактероидеты под микроскопом (Bacteroides biacutis)
Бактероидеты под микроскопом (Bacteroides biacutis)

Казалось бы, что тут удивительного? Микрофлора реагирует на то, что мы едим. И кого лучше кормят, тот и растёт.
Всё верно. Вот только бактерии заинтересованы в том, чтобы их подкармливали. А потому научились управлять вкусовыми пристрастиями хозяина. Именно поэтому бывает так сложно похудеть. Преобладающие фирмикуты "просят", чтобы их кормили жирным и сладким. А бактероидетов так мало, что права голоса им никто не даёт.

Выходит, что бактерии ощутимо влияют на то, что мы едим, а значит от них зависит, потолстеем мы или похудеем.

Причём видовой состав бактерий кишечника у полных и худых отличается сильнее, чем гены этих людей. Исключительно по пробе кишечной микрофлоры специалист может сказать, у человека какой комплекции был взят образец.

Соотношение бактерий в кишечнике, казалось бы, можно изменить в любое время, просто перестроившись на другой режим питания. Но фирмикуты будут голодать без жиров и сахара и будут требовать, чтобы человек съел шоколадку или гамбургер. И наоборот – бактероидеты при голодании будут нуждаться в омлете с курицей. А бактерии — мастера уговоров. Если они не получают желаемого, то заставляют носителя грустить и злиться. Придётся каждый день в течение нескольких недель, а то и месяцев, доказывать своему микробиому, что нам хочется именно филе трески, а вовсе не чебурек.

Фирмикуты под микроскопом (Enterococcus faecium).
Фирмикуты под микроскопом (Enterococcus faecium).

Учёные проводили эксперименты по пересадке кишечной микрофлоры мышам. Если микробиота по какой-то причине погибла или поредела, например, от болезни или приёма антибиотиков, пересадка микрофлоры может значительно улучшить состояние пищеварения и организма в целом. При пересадке мышам с ожирением микрофлоры от худых мышей, толстые грызуны изменили своим пищевым привычкам. Их заинтересовала белковая пища, и они начали активно сбрасывать вес и набирать мышечную массу. И наоборот – когда тощим мышам пересадили бактерий от толстых, грызуны начали активно запасать жиры.

-3

Это вовсе не значит, что нужно сейчас же идти просить бактерий у худых друзей или питаться только брокколи. Исследования показали, что самыми здоровыми в популяции оказались мыши с наибольшим разнообразием кишечного микробиома. Поэтому кормить надо и бактероидетов, и фирмикутов, соблюдая баланс, меру и вселенское равновесие.

Рисунок автора
Рисунок автора

Автор: Софья Соловьева

Наука
7 млн интересуются