Добавить в корзинуПозвонить
Найти в Дзене
В мире медицины

Разрыв аневризмы в мозге

Пациент сорока с лишним лет доставлен бригадой СМП в приёмное отделение. "Входной" диагноз скорой: "Гипертонический криз". В пультовую заходит уставший дежурный невролог и предлагает весьма заманчивый вариант: быстро "откатать" дяденьку и, скорее всего, отпустить его домой. Однако, в карте пишет ОНМК (инсульт) под вопросом. Со слов пациента, складывал доски на даче, резко заболела голова, поднялось давление. После "проката" едва заметное субарахноидальное кровоизлияние в мозге. На контрасте - аневризма средней мозговой артерии слева. Она и послужила причиной кровоизлияния. Субарахноидальное кровоизлияние опасно для жизни. Даже несмотря на своевременную диагностику и проводимую терапию исход может быть крайне неблагоприятным. Вот так бывает: пришел своими ногами на томографию, а оттуда уже уехал в реанимацию. Пациенту была проведена попытка клипирования аневризмы, к сожалению, не очень удачно. Из осложнений развилась вторичная послеоперационная ишемия. Он долго лежал в реанимации с от
Оглавление

Пациент сорока с лишним лет доставлен бригадой СМП в приёмное отделение. "Входной" диагноз скорой: "Гипертонический криз". В пультовую заходит уставший дежурный невролог и предлагает весьма заманчивый вариант: быстро "откатать" дяденьку и, скорее всего, отпустить его домой.

Однако, в карте пишет ОНМК (инсульт) под вопросом.

Со слов пациента, складывал доски на даче, резко заболела голова, поднялось давление.

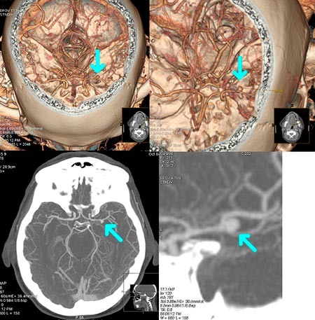
После "проката" едва заметное субарахноидальное кровоизлияние в мозге. На контрасте - аневризма средней мозговой артерии слева. Она и послужила причиной кровоизлияния.

Пример того, как может выглядеть мешотчатая аневризма средней мозговой артерии на КТ-ангиографии сосудов головного мозга
Пример того, как может выглядеть мешотчатая аневризма средней мозговой артерии на КТ-ангиографии сосудов головного мозга

Субарахноидальное кровоизлияние опасно для жизни. Даже несмотря на своевременную диагностику и проводимую терапию исход может быть крайне неблагоприятным.

Вот так бывает: пришел своими ногами на томографию, а оттуда уже уехал в реанимацию. Пациенту была проведена попытка клипирования аневризмы, к сожалению, не очень удачно. Из осложнений развилась вторичная послеоперационная ишемия. Он долго лежал в реанимации с отрицательной динамикой, потом в отделении неврологии, в итоге был выписан с грубой неврологической симптоматикой.

Что такое аневризма?

Это локальное расширение артерии (реже - вены), которое возникает из-за ослабления сосудистой стенки (на 50% и более).

Как правило, аневризма протекает бессимптомно в течение многих лет. Однако, при некоторых условиях способна разорваться и спровоцировать кровотечение разной степени выраженности: от субарахноидального до геморрагического инсульта с формированием внутримозговой гематомы.

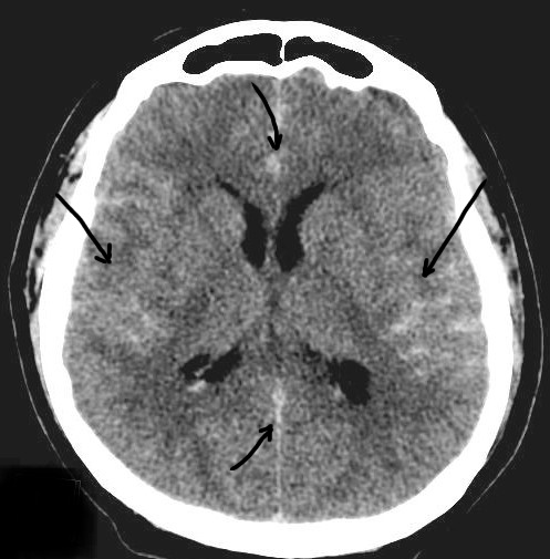
Вариант субарахноидального кровоизлияния: кровь (светлая, яркая) расположена по конвексу мозга, в корковых бороздах, межполушарной щели спереди и сзади, а также базальных цистернах мозга
Вариант субарахноидального кровоизлияния: кровь (светлая, яркая) расположена по конвексу мозга, в корковых бороздах, межполушарной щели спереди и сзади, а также базальных цистернах мозга

Обычно аневризма возникает в крупных артериальных стволах: аорте, сосудах сердца, почек, головного мозга. Чаще - в местах раздвоения сосуда или выраженного изгиба, где давление крови на сосудистую стенку наиболее сильное.

Основные причины, предрасполагающие к развитию аневризмы:

  • наследственный фактор (дефицит коллагена, который обеспечивает прочность и эластичность стенки сосуда);
  • атеросклероз;
  • артериальная гипертензия;
  • травма.

Лечение зависит от размера аневризмы, ее локализации и общего состояния пациента.

Эндоваскулярная эмболизация аневризмы: аневризматический мешок заполняют специальной спиралью
Эндоваскулярная эмболизация аневризмы: аневризматический мешок заполняют специальной спиралью

Из вариантов хирургического вмешательства наиболее часто применяют клипирование или эндоваскулярную эмболизацию.

При клипировании на шейку аневризмы накладывают металлическую клипсу
При клипировании на шейку аневризмы накладывают металлическую клипсу

Решение по тактике ведения пациента принимает лечащий нейрохирург после проведенного ангиографического исследования.