Добавить в корзинуПозвонить
Найти в Дзене
В мире медицины

Мутная брыжейка: что такое панникулит

Брыжейка представляет собой связочный аппарат брюшины, содержащий сосуды и жировую ткань. Почему она становится мутной, как это выглядит на КТ и кто такие Вебер и Крисчен, можете прочитать в статье. Редкое заболевание, поражающее, в основном, женщин в возрасте 50-60 лет. Представляет собой отграниченный хронический воспалительный процесс в брыжейке тонкой кишки, приводящий к её склерозированию (рубцеванию). Немного о терминах В литературе встречается несколько названий данного состояния: склерозирующий мезентерит, мезентериальная липодистрофия, панникулит Вебера-Крисчена. Впервые болезнь была описана в 1925 году Вебером, а Крисчен обратил внимание на лихорадку при данном состоянии и сделал свой вариант описания в 1928 году. Однако, панникулит Вебера-Крисчена в случае системной формы поражает жировую клетчатку забрюшинного пространства, сальника, реже - поджелудочной железы и печени. Мезентериальный же панникулит ограничивается локальным хроническим процессом в брыжейке. Варьирует о
Оглавление
Брыжейка представляет собой связочный аппарат брюшины, содержащий сосуды и жировую ткань. Почему она становится мутной, как это выглядит на КТ и кто такие Вебер и Крисчен, можете прочитать в статье.

Что такое мезентериальный панникулит?

Редкое заболевание, поражающее, в основном, женщин в возрасте 50-60 лет. Представляет собой отграниченный хронический воспалительный процесс в брыжейке тонкой кишки, приводящий к её склерозированию (рубцеванию).

Схематичное расположение брыжейки для понимания
Схематичное расположение брыжейки для понимания

Немного о терминах

  • Мезентериальный: в переводе с латинского означает "брыжейка" (mesenterium);
  • Панникулит: "воспаление жировых отложений" (дословно с латинского).

В литературе встречается несколько названий данного состояния: склерозирующий мезентерит, мезентериальная липодистрофия, панникулит Вебера-Крисчена.

Впервые болезнь была описана в 1925 году Вебером, а Крисчен обратил внимание на лихорадку при данном состоянии и сделал свой вариант описания в 1928 году.

Однако, панникулит Вебера-Крисчена в случае системной формы поражает жировую клетчатку забрюшинного пространства, сальника, реже - поджелудочной железы и печени.

Мезентериальный же панникулит ограничивается локальным хроническим процессом в брыжейке.

Причины, приводящие к "мутной" брыжейке:

  • аутоиммунные заболевания с системным поражением соединительной ткани (склеродермия, васкулит, гранулематоз Вегенера и др.);
  • оперативное вмешательство на органах брюшной полости и забрюшинного пространства, травмы и кровоизлияния;
  • некоторые перенесенные инфекции (брюшной тиф, стрептококковая инфекция, абдоминальный туберкулёз);
  • онкологические заболевания, сопровождаемые лимфатическим отеком (наиболее часто встречается при раке почки, простаты, желудка и молочной железы);
  • асцит, портальная гипертензия;
  • выраженная сердечная недостаточность;
  • эндокринные расстройства;
  • ожирение.

Клиническая картина

Варьирует от бессимптомных до выраженных форм, проявляющихся болями в животе, уменьшением массы тела (иногда), постоянной тошнотой, кишечной дисфункцией, редко - субфебрильной температурой.

В дифференциальный ряд обязательно нужно включать онкологическую патологию (исключать мезотелиому брюшины, опухоли брыжейки, гематологические заболевания, в первую очередь, лимфомы), а также болезнь Уиппла (напишу отдельно).

Как выглядит нормальная брыжейка на КТ?

Аксиальные срезы в нативную и артериальную фазы исследования. Плотность брыжейки не отличается от плотности жира иной локализации. Киста нижней трети левой почки, Bosniak I
Аксиальные срезы в нативную и артериальную фазы исследования. Плотность брыжейки не отличается от плотности жира иной локализации. Киста нижней трети левой почки, Bosniak I

Брыжейка в норме легко визуализируются за счёт жировой ткани. В ней хорошо различимы сосуды, могут встречаться единичные неувеличенные лимфатические узлы.

Нормальная КТ-картина брыжейки тонкой кишки
Нормальная КТ-картина брыжейки тонкой кишки
Для сравнения: вид брыжейки при панникулите. На самом деле, мутная.
Для сравнения: вид брыжейки при панникулите. На самом деле, мутная.

Как выглядит на КТ "мутная брыжейка" при мезентериальном панникулите?

  • повышение плотности брыжеечного жира до -40 -60 единиц НU, в норме -100 HU (именно по этой причине она называется "мутной", т.е. непрозрачной, как должно бы было быть в норме);
  • возможно присутствие мягкотканного компонента на данном фоне;
  • количественное увеличение лимфатических узлов, как на примере ниже. Ряд авторов считает их фиброзными узлами, а некоторые рентгенологи применяют данное понятие в описательной части протокола.
Брыжейка тонкого кишечника уплотнена, прозрачность ее снижена. В структуре визуализируются количественно увеличенные лимфатические узлы, а также фиброзные тяжи (показаны указателем)
Брыжейка тонкого кишечника уплотнена, прозрачность ее снижена. В структуре визуализируются количественно увеличенные лимфатические узлы, а также фиброзные тяжи (показаны указателем)
Важно понимать, что мезентериальный панникулит - не окончательный диагноз, а предварительный.

Подтвердить его можно гистологически, изучив подробно патоморфологию биопсийного участка.

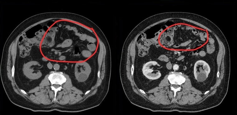
Еще вариант "мутной брыжейки": мезентериальный панникулит, стрелками показаны примерные границы
Еще вариант "мутной брыжейки": мезентериальный панникулит, стрелками показаны примерные границы

Принципы лечения

Стандартного протокола не существует. При случайном обнаружении на КТ пациенту рекомендуется консультация гастроэнтеролога, онколога, в ряде случаев - гематолога.

На основании данных ананеза, жалоб могут быть назначены цитостатики, глюкокортикоиды, НПВС с целью уменьшения болевого синдрома.

Рекомендуется регулярный КТ-контроль раз в год, а также адекватное проведение дифференциальной диагностики. Хирургическое лечение, как правило, не показано.

Благодарю за внимание и до скорых встреч.