Добавить в корзинуПозвонить
Найти в Дзене
Восемь лап!

Этот паразит попадает в человека через другого паразита и пожирает изнутри его эритроциты, что может привести к смерти

Вот вы отправились в летний поход: солнечные блики скользят по листве, птичьи трели доносятся из глубины леса, а тёплый ветер несёт ароматы трав. И тут, едва заметный укус крохотного клеща оказывается путёвкой в целый мир невидимых микропаразитов. Одним из таких «незваных гостей» может быть возбудитель бабезиоза — заболевания, которое вторгается в наши эритроциты и начинает пожирать их изнутри. На первый взгляд, бабезиоз схож с малярией: паразит проникает в красные кровяные тельца и постепенно их разрушает. У многих людей (особенно молодых и здоровых) заболевание проходит почти незаметно; порой симптомы вовсе отсутствуют. Но если иммунитет ослаблен (возраст, хронические болезни, отсутствие селезёнки) — инфекция может преподнести смертельно опасный сюрприз. В тяжёлых случаях у пациента возникает резкая анемия, так как «истощённые» эритроциты перестают переносить кислород к тканям. Появляются лихорадка, озноб, боль в мышцах, и, если не начать лечение, пострадавший рискует столкнуться с с
Оглавление

Бабезиоз: невидимые охотники за нашими кровяными клетками

Вот вы отправились в летний поход: солнечные блики скользят по листве, птичьи трели доносятся из глубины леса, а тёплый ветер несёт ароматы трав.

И тут, едва заметный укус крохотного клеща оказывается путёвкой в целый мир невидимых микропаразитов. Одним из таких «незваных гостей» может быть возбудитель бабезиоза — заболевания, которое вторгается в наши эритроциты и начинает пожирать их изнутри.

Чем опасен бабезиоз

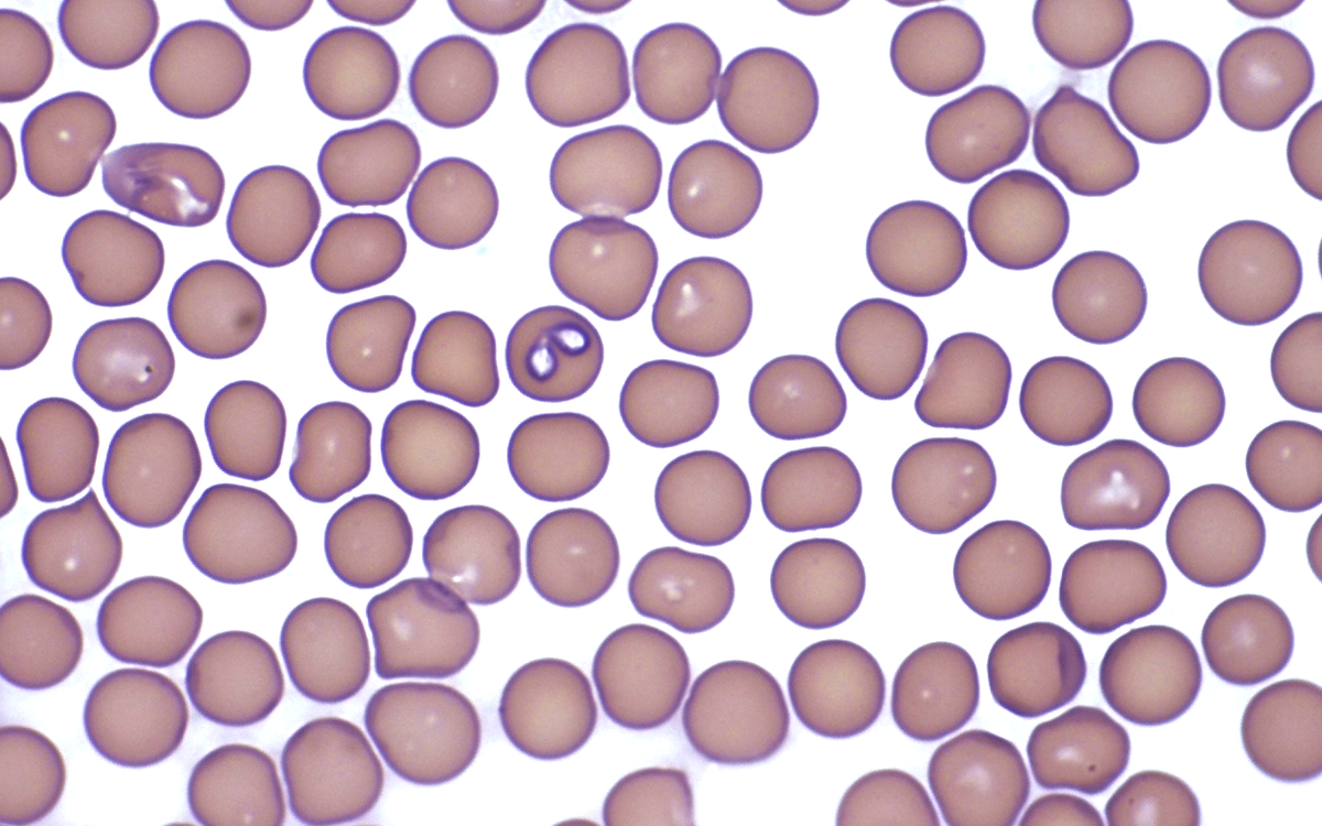
Споровики Babesia Bovis
Споровики Babesia Bovis

На первый взгляд, бабезиоз схож с малярией: паразит проникает в красные кровяные тельца и постепенно их разрушает. У многих людей (особенно молодых и здоровых) заболевание проходит почти незаметно; порой симптомы вовсе отсутствуют.

Но если иммунитет ослаблен (возраст, хронические болезни, отсутствие селезёнки) — инфекция может преподнести смертельно опасный сюрприз.

В тяжёлых случаях у пациента возникает резкая анемия, так как «истощённые» эритроциты перестают переносить кислород к тканям. Появляются лихорадка, озноб, боль в мышцах, и, если не начать лечение, пострадавший рискует столкнуться с серьёзными осложнениями вплоть до отказа органов.

Как проникает паразит

-2

Возбудители бабезиоза - Babesia (род протистов из отряда пироплазмид), которые чаще всего атакуют коров, оленей и другого крупного скота. Распространяют их черноногие клещи (Ixodes scapularis), которых также называют оленьими.

  • Клещ, насосавшись крови инфицированного животного, переходит на человека и кусает его.
  • Слюна переносит паразитов в нашу кровь.
  • Там Babesia быстро находит эритроциты и начинает своё разрушительное «пиршество».

Кроме укусов клещей, более редкие пути заражения — переливание заражённой крови или передача от матери плоду.

Кто рискует сильнее всего

-3

Большинство людей переносят бабезиоз относительно легко. Но есть группы, для которых даже скромная инфекция может стать бедой:

  • люди, лишившиеся селезёнки в результате травмы или операции;
  • те, у кого диагностированы ВИЧ;
  • пожилые пациенты с букетом хронических заболеваний;
  • дети с ещё несформированным иммунитетом.

У э всех этих групп людей паразит быстро приобретает преимущество, и общее состояние может резко ухудшаться. По некоторым данным, без лечения смертность в таких случаях достигает 20% и выше.

Основные симптомы

-4

Жар и озноб. Обычно температура может скакнуть до 38–40 °C, сопровождаясь обильным потом.

Боли в мышцах и суставах. Паразиты высасывают силы, вызывая ломоту по всему телу.

Сильная слабость и утомляемость. Проблемы с эритроцитами ведут к недостатку кислорода для тканей, в том числе для мозга.

Головная боль. Из-за интоксикации и нехватки кислорода.

Увеличение печени и селезёнки. Организм включается в интенсивную борьбу, фильтруя заражённые клетки.

Как быть, если заболел

-5

Не паниковать. Если у вас типичные «гриппоподобные» симптомы и недавно был укус клеща, нужно сообщить врачу о своих подозрениях. Диагноз ставится на основе анализов крови, где под микроскопом врач может разглядеть паразитов внутри эритроцитов.

Лечение. Обычно назначают комбинацию противопаразитарных препаратов (например, атоваквон) с некоторыми видами антибиотиков. У пациентов с тяжелыми симптомами может потребоваться переливание крови, чтобы заменить повреждённые эритроциты.

Профилактика: всё проще, чем кажется

-6

Одежда и репелленты. Если планируете отдых в лесу, наденьте штаны, закрывающие ноги, рубашку с длинными рукавами и обработайте кожу репеллентом.

Проверяйте тело. Клещи часто прячутся под коленями, в паху, подмышками и на шее. Важно быстро снять клеща, если он впился.

Контроль домашних животных. Если у вас собаки или кошки, которые гуляют на природе, убедитесь, что у них есть средства от клещей.

Бабезиоз в глобальном контексте

-7

Бабезиоз чаще всего регистрируют в южных регионах России, Центральной полосе, Поволжье, на Урале и в Сибири. Он также встречается в Московской области и Санкт-Петербурге из-за миграции клещей.

В некоторых случаях клещи разносят и другие инфекции, например, упомянутый в прошлой статье бычий папилломавирус, выявленный у жирафа в Крюгер-парке.

Хотя это другая история, но общая суть ясна: крохотные клещи становятся «курьерами» самых неожиданных болезней, поражающих как экзотических животных, так и нас, людей.

-8

В случае жирафа, находящегося в ЮАР, местные рейнджеры решили не прибегать к крайним мерам, так как болезнь не прогрессирует стремительно.

Точно так же и с бабезиозом: если вы вовремя обратитесь к врачу, болезнь чаще всего поддаётся лечению и не несёт фатальных последствий.

Главное – понимать, что природа вокруг нас полна незаметных нитей, связывающих крупного буйвола, мелкую бактерию, клеща и человеческий организм в одну обоюдную экосистему.