Добавить в корзинуПозвонить
Найти в Дзене
В мире медицины

Открытый боталлов проток

Данный порок встречается в 10% случаев среди всех врожденных пороков. Он часто сочетается с другими сосудистыми аномалиями, а в группе риска находятся недоношенные дети с массой тела при рождении менее 1,5 кг. Замечено, что у детей, рождённых от матерей, проживающих в высокогорных районах, данный порок встречается намного чаще. До сих пор ведутся споры о том, кто впервые описал эту аномалию. Тем не менее, названа она так именно в честь итальянского ученого Леонардо Боталло, жившего в XVI веке. Это врожденный порок сердца, при котором сохраняется патологический шунт между аортой и лёгочным стволом. Внутриутробно он обеспечивает проведение крови в обход малого круга кровообращения, который отсутствует у плода. После рождения и перевязки пуповины отмечается падение давления в сосудах лёгких, что ведёт к закрытию протока в течение нескольких часов (обычно до 72 часов). После своего заращения проток становится артериальной связкой. Интересный факт Иногда диаметр данного шунта настолько о
Оглавление
Данный порок встречается в 10% случаев среди всех врожденных пороков. Он часто сочетается с другими сосудистыми аномалиями, а в группе риска находятся недоношенные дети с массой тела при рождении менее 1,5 кг.

Замечено, что у детей, рождённых от матерей, проживающих в высокогорных районах, данный порок встречается намного чаще.

До сих пор ведутся споры о том, кто впервые описал эту аномалию. Тем не менее, названа она так именно в честь итальянского ученого Леонардо Боталло, жившего в XVI веке.

Что такое открытый артериальный проток?

Это врожденный порок сердца, при котором сохраняется патологический шунт между аортой и лёгочным стволом.

Схематичное расположение боталлова протока
Схематичное расположение боталлова протока
Внутриутробно он обеспечивает проведение крови в обход малого круга кровообращения, который отсутствует у плода.

После рождения и перевязки пуповины отмечается падение давления в сосудах лёгких, что ведёт к закрытию протока в течение нескольких часов (обычно до 72 часов). После своего заращения проток становится артериальной связкой.

Интересный факт

Иногда диаметр данного шунта настолько огромен, что превышает диаметр самого крупного сосуда в организме - аорты.

Нарушение гемодинамики

За счёт того, что проток остаётся функционирующим, артериальная кровь сбрасывается в малый круг кровообращения (чего в норме быть не должно).

Что же происходит?

Избыточный объем крови в малом круге приводит к повышению давления в легочной артерии. Кроме того, увеличенная нагрузка на левые отделы сердца способствует их расширению, а постепенно - и правых.

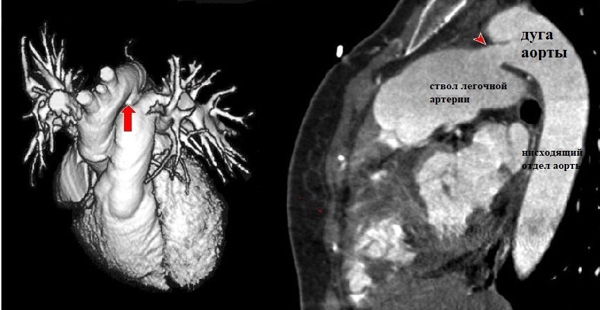
Объемная (слева) и сагиттальная (справа) реконструкции сердца и магистральных сосудистых стволов: стрелкой показан функционирующий шунт (возможности КТ-ангиографии)
Объемная (слева) и сагиттальная (справа) реконструкции сердца и магистральных сосудистых стволов: стрелкой показан функционирующий шунт (возможности КТ-ангиографии)

Клиническая картина

Зависит от объема крови, проходящей через функционирующий шунт и компенсаторных возможностей новорожденного. К последним можно отнести:

  • увеличение силы сердечного выброса и ЧСС;
  • перераспределение обедненного кровотока в большом круге: таким образом обеспечивается адекватное кровоснабжение жизненно важных органов (в первую очередь, головного мозга).

При небольшом дефекте данный порок может протекать бессимптомно, а заподозрить его можно только при определении шума на уровне II межреберья слева от грудины.

При большом диаметре шунта порок проявляется в первые недели после рождения. Основные симптомы, позволяющие заподозрить открытый боталлов проток при внешнем осмотре:

  • учащенное сердцебиение;
  • учащенное дыхание;
  • затруднение дыхания при кормлении;
  • плохая прибавка в весе;
  • синюшность (цианоз) кожных покровов.

Какие осложнения могут возникать при открытом артериальном протоке?

  • легочное кровотечение;
  • развитие прогрессирующей дыхательной недостаточности;
  • внутрижелудочковые кровоизлияния;
  • некротизирующий энтероколит (некроз стенок кишечника);
  • воспаление внутренней стенки артериального протока - боталлит, создающий предпосылки для образования тромбов;
  • очень редко - аневризма боталлова протока.

Диагностика

"Золотым стандартом" является ЭХО-кардиография (УЗИ сердца). Как правило, она проводится всем новорожденным из группы риска:

  • рождённых на сроке менее 30 недель;
  • находящихся на ИВЛ вне зависимости от срока;
  • при введении сурфактанта на фоне дистресс-синдрома (та самая прогрессирующая дыхательная недостаточность).

Тактика при ОАП

При отсутствии клинической картины, малом диаметре шунта и значимых изменений гемодинамики по данным ЭхоКГ, тактика наблюдательная.

Основные показания к оперативному лечению:

  • неэффективность консервативной терапии;
  • перегрузка левых отделов сердца;
  • признаки лёгочной гипертензии;
  • перенесённый эндокардит.

Способы хирургической коррекции

  • эндоваскулярная окклюзия: просвет шунта закрывают специальным окклюдером;
  • перевязка двойной лигатурой;
  • клипирование;
  • пересечение ОАП с прошиванием и перевязкой обеих культей.

В каждом случае способ коррекции порока решается индивидуально оперирующим кардиохирургом.