Найти в Дзене
D2D Expert

Нарушение мозгового кровообращения

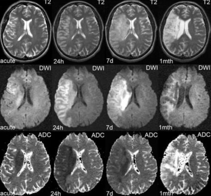
Выделяют 4 основные причины инсульта: Сегодня разберем тему инфаркта головного мозга. Основной причиной инфаркта головного мозга является атеросклероз и его последствия. Не будем загружать вас клиникой, патогенезом и  тем, что вы знаете и без нас. Да, наиболее распространенным методом является КТ, однако роль данного вида диагностики весьма ограничена. Изменения, видимые на КТ, формируются после 24 часов с момента проявлений неврологической симптоматики, на МРТ же с использованием стандартных и специальных методик - в первые минуты/часы (рис. 1). Рис. 1. Сравнение эволюции визуальной картины ишемического ОНМК в различные временные периоды с помощью программ Т2 и DWI/ADC: чувствительность DWI наиболее значима в первые часы после возникновения инсульта Существуют  стадии  по данным  визуализации на МРТ: Цитотоксический отек - утолщение извилин мозга и потеря четких границ между серым и белым веществом (рис. 2). Сочетание цитоксического и вазогенного отека, начало энцефаломаляции с форми

Выделяют 4 основные причины инсульта:

  • Инфаркт головного мозга (80%),
  • Внутрипаренхиматозные кровоизлияния (15%),
  • Нетравматическое субарахноидальное кровоизлияние (5%),
  • Венозные инфаркты (1%).

Сегодня разберем тему инфаркта головного мозга.

Основной причиной инфаркта головного мозга является атеросклероз и его последствия.

Не будем загружать вас клиникой, патогенезом и  тем, что вы знаете и без нас.

Да, наиболее распространенным методом является КТ, однако роль данного вида диагностики весьма ограничена. Изменения, видимые на КТ, формируются после 24 часов с момента проявлений неврологической симптоматики, на МРТ же с использованием стандартных и специальных методик - в первые минуты/часы (рис. 1).

-2

Рис. 1. Сравнение эволюции визуальной картины ишемического ОНМК в различные временные периоды с помощью программ Т2 и DWI/ADC: чувствительность DWI наиболее значима в первые часы после возникновения инсульта

Существуют  стадии  по данным  визуализации на МРТ:

  • Острая стадия (0-2 суток)

Цитотоксический отек - утолщение извилин мозга и потеря четких границ между серым и белым веществом (рис. 2).

  • Подострая стадия (3-14 дней)

Сочетание цитоксического и вазогенного отека, начало энцефаломаляции с формированием некротических зон, симптом «гирального» усиления (рис. 3).

  • Хроническая стадия ( конец 2-й недели и более).

Резорбция некротических масс, формирование кистозной полости с перифокальным глиозом.

DWI – диффузионно-взвешенное изображение.  Выявляет инфаркт в первые минуты  с момента сосудистой окклюзии в виде высокого сигнала на DWI с высокими показателями b фактора 800 с/мм2 и сниженного сигнала на ADC-карте. Также зона инсульта определима на Т2-ВИ и FLAIR в виде гиперинтенсивного сигнала, но плохо отличима от аналогичного сигнала зон хронической ишемии,глиоза. Таким образом, программа DWI является ключевой в выявлении ишемического ОНМК.

Патоморфология ишемического ОНМК:

  • Ишемические инсульты характеризуются большим разнообразием макроскопических и микроскопических изменений, обусловленных патогенезом, локализацией поражения и давностью заболевания. Обширные и крупные ишемические инфаркты головного мозга патогенетически связаны с обтурирующим атеротромбозом одной или нескольких артериальных ветвей, кардиотромбоэмболией или артерио-артериальной тромбоэмболией, средние чаще развивались по гемодинамическому механизму, а развитие лакунарных инфарктов было связано с поражением перфорирующих артерий мозга.
  • На величину и локализацию инфаркта мозга влияли выраженность гемодинамически значимого атеростеноза или атеротромбоза, скорость развития стеноза или окклюзии сосудов, а также степень развития коллатерального кровообращения.
  • В генезе полушарных инфарктов решающая роль принадлежит атеросклерозу магистральных сосудов головы и патологии сердца.
  • При инсультах в ВББ более важное патогенетическое значение имеет стенотическое поражение прецеребральных и интрацеребральных сегментов позвоночных артерий.
  • Максимальная выраженность патоморфологических изменений при ишемических инсультах наблюдается на 2-е — 3-и сутки от начала заболевания в виде необратимых повреждений всех структурных элементов нервной ткани в зоне основного ишемического очага с наличием перифокальной зоны, характеризующейся выраженным периваскулярным и перицеллюлярным отеком и редукцией микроциркуляторного русла.
-3

Рис. 2. Схематическое изображение составных частей инфаркта височной доли при тромбозе средней мозговой артерии. Стрелками показаны зоны необратимых изменений (“ядерной зоны” инфаркта) и ишемической полутени (“пенумбра”).

-4

Рис. 3. Постконтрастные Т1 аксиальный и сагиттальный сканы: контрастное усиление при ишемическом ОНМК по гиральному типу в левой затылочной доле.

-5
-6
-7
-8

Рис. 4. Схематическое изображение бассейнов кровоснабжения.

Некоторые инфаркты при дисциркуляторной энцефалопатии протекают  бессимптомно. Это «немые» инфаркты, которые, как правило, локализуются в глубоких отделах мозга и диагностируются только при МРТ. Этот вид диагностики выявляет очаги ограничения диффузии  на фоне хронической ишемии.

Каким методом диагностики пользуетесь Вы? Было бы интересно узнать Ваши интересные случаи из практики обнаружения ОНМК у пациентов.

Автор: D2D Expert: Хисматуллина Алиса Азатовна, врач-рентгенолог, "Клиника Эксперт" г. Уфа

Приглашаем в нашу команду! Регистрируйтесь www.d2d.mrtexpert.ru и подписывайтесь на наши ТГ-каналы. Здесь клиницисты и рентгенологи могут найти поддержку и обратную связь от своих коллег.