Добавить в корзинуПозвонить
Найти в Дзене
БИТ

Пациент без мозга сдал экзамен на государственную службу

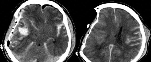
В мире медицины существует множество удивительных и загадочных явлений, и феномен «человека без мозгов» — одно из них. Это странное явление не только бросает вызов традиционным представлениям людей о работе мозга, но и открывает новые темы для медицинских исследований. Мозг, как один из важнейших органов человеческого организма, контролирует множество важных физиологических и психологических функций. Однако появление «людей без мозгов» заставило людей по-новому взглянуть на функции мозга и его потенциальную адаптивность. 33 года назад людям стало известно об открытии огромной важности. Пациент, страдавший головными болями и эпилептическими припадками, привлек широкое внимание медицинского сообщества. После планового обследования его мозга врачи с удивлением обнаружили, что его мозг был практически замещён жидкой тканью, что свидетельствует о тяжёлом отёке мозга и крайне серьёзном повреждении коры головного мозга. Результаты КТ оказались ещё более невероятными. Внутри его головы не было

В мире медицины существует множество удивительных и загадочных явлений, и феномен «человека без мозгов» — одно из них. Это странное явление не только бросает вызов традиционным представлениям людей о работе мозга, но и открывает новые темы для медицинских исследований.

Мозг, как один из важнейших органов человеческого организма, контролирует множество важных физиологических и психологических функций. Однако появление «людей без мозгов» заставило людей по-новому взглянуть на функции мозга и его потенциальную адаптивность.

33 года назад людям стало известно об открытии огромной важности. Пациент, страдавший головными болями и эпилептическими припадками, привлек широкое внимание медицинского сообщества. После планового обследования его мозга врачи с удивлением обнаружили, что его мозг был практически замещён жидкой тканью, что свидетельствует о тяжёлом отёке мозга и крайне серьёзном повреждении коры головного мозга. Результаты КТ оказались ещё более невероятными. Внутри его головы не было практически никаких неповреждённых мозговых тканей. Эта ситуация повергла врачей в глубокое замешательство. Как вообще может человек с практически отсутствующим мозгом жить как нормальный человек?

Данный пациент не только женился и завёл детей, но и сдал экзамен на государственную службу. Пока он не приехал лечиться от болезни, будучи взрослым, его повседневная жизнь, казалось, не сильно страдала.

Чтобы глубже понять это явление, врачи решили провести более комплексное обследование пациента. Во время обследования врачи использовали различные приборы, чтобы оценить физическое состояние пациента с разных сторон.

Сначала был проведён личностный тест, который показал, что, хотя у пациента были эмоциональные проблемы, такие как депрессия и тревожность, у него не было паранойи, бреда или расстройств личности. Следующий тест на интеллект охватывает общие знания, понимание языка, внимание, память и математику.

-2

Результаты теста показали, что, хотя скорость выполнения заданий и абстрактное мышление у него были немного ниже нормы, его показатели понимания языка, памяти, математики и рассуждений были относительно нормальными. Тесты на сознание показали, что уровень его бодрствования и осознанности был хорошим, но его внимание и концентрация были немного снижены.

Результаты двигательного тестирования показали, что у него наблюдаются лёгкие двигательные и сенсорные нарушения, но он всё ещё способен выполнять повседневные действия. Наконец, ЭЭГ-тест выявил аномальную электрическую активность в его мозге, что ещё раз подтвердило, что функция его мозга действительно нарушена.

-3

Результаты этих тестов дают людям более глубокое понимание феномена «человека без мозгов». Хотя мозг пациента практически отсутствовал, он не полностью утратил способность воспринимать и осуществлять движения, присущие нормальному человеку.

Этот случай привлек широкое внимание медицинского сообщества и послужил важным ориентиром для современной медицины в понимании последствий и восстановления повреждений коры головного мозга. Изучая остаточный мозг вышеуказанного пациента, учёные смогли глубже понять организацию и функционирование коры головного мозга и определить специфические функции различных её областей.

-4

Результаты этих исследований дают ценные рекомендации по реабилитационному лечению после черепно-мозговых травм, помогая врачам разрабатывать более подходящие планы стимуляции и лечения.

Так в чём же заключается принцип, позволяющий «безмозглым людям» осуществлять деятельность в определённой степени? Хотя их мозг серьёзно повреждён, у них всё ещё сохраняется определённая степень пластичности и компенсаторной способности. В случае «анэнцефаликов» возможно, что другие неповреждённые области или нервные системы играют компенсаторную роль, позволяя им поддерживать некоторые основные физиологические и когнитивные функции.

-5

Например, некоторые нейронные цепи могут перестраиваться и адаптироваться, чтобы компенсировать функциональные потери, вызванные повреждением коры головного мозга. Кроме того, другие органы и системы организма также могут в определённой степени дополнять и помогать функциям мозга и вместе поддерживать нормальное функционирование организма.

Мозг — чрезвычайно сложный орган, разные области которого выполняют разные функции. Понимание функций областей мозга важно для понимания феномена «людей без мозгов».

Кора головного мозга отвечает за обработку большинства функций восприятия, движения, языка и познавательных способностей. При повреждении коры головного мозга могут возникнуть различные проблемы, такие как потеря памяти, нарушения речи и координации движений.

-6

Результаты исследований «людей без мозгов» открывают нам новую перспективу для глубокого понимания функций областей мозга. Изучая «людей без мозгов», мы обнаружили, что, хотя их мозг серьёзно повреждён, в некоторых аспектах он всё ещё может демонстрировать относительно нормальные функции.

Это показывает, что функционирование мозга не зависит исключительно от целостной структуры, а скорее обладает определённой степенью гибкости и адаптивности.

Исследования «людей без мозгов» имеют огромное значение не только в области медицины, но и оказывают глубокое влияние на компьютерную сферу. Вдохновением для создания алгоритмов нейронных сетей послужила именно связь между нейронами в мозге.

-7

Исследуя людей без мозга, учёные получают более глубокое понимание работы мозга, что даёт им идеи для создания более совершенных технологий искусственного интеллекта. В таких областях, как распознавание изображений, распознавание речи и обработка естественного языка, исследователи используют методы обработки информации, аналогичные тем, которые использует мозг, чтобы улучшить производительность и интеллект компьютерных систем.

Кроме того, исследования людей без мозга также побудили учёных-компьютерщиков задуматься о том, как создать более эффективные и гибкие вычислительные модели для лучшего моделирования функций человеческого мозга.

Когда люди говорят о людях без мозга, они часто представляют себе людей в вегетативном состоянии. Вегетативное состояние имеет некоторые сходства с состоянием человека без мозга, но есть и явные различия.

-8

У людей в вегетативном состоянии мозг присутствует физически, но их сознание и высшая нервная деятельность сильно нарушены. Они не могут контролировать свои действия и выражения, у них отсутствуют сознание, восприятие, воля и эмоции.

Люди по-разному относятся к вегетативному состоянию. Некоторые считают, что люди в вегетативном состоянии всё ещё живы и заслуживают заботы и уважения, в то время как другие полагают, что качество их жизни сильно ухудшилось и их существование поддерживается только машинами, не имея особого смысла.

-9

В любом случае, вопрос о вегетативном состоянии имеет большое практическое значение и требует от нас серьёзного отношения и размышлений.

Человеческий мозг — это орган, полный загадок. Хотя мы достигли некоторых успехов в исследованиях, всё ещё есть много тайн, которые ждут своего раскрытия. Например, до сих пор нет чёткого понимания того, как взаимодействие между нейронами и нейронными цепями формирует восприятие и познание.

Феномен людей без мозга ещё больше усложняет наше понимание мозга. Мы знаем, что мозг необходим для выживания и развития человека, но мы всё ещё очень мало знаем о многих его функциях и механизмах.

-10

Изучение тайн человеческого мозга — это долгий и сложный процесс, который требует междисциплинарного сотрудничества и использования инновационных методов исследования.