Найти в Дзене
В мире медицины

Мальформация Денди-Уокера: МР-критерии

Ликворная киста задней черепной ямки может достигать огромных размеров, а клинически это будет проявляться замедленным моторным развитием новорожденного с постепенным развитием внутричерепной гипертензии. Что такое симптом "заходящего солнца", где расположен IV желудочек мозга и как происходит циркуляция ликвора, можете прочитать в статье. Врожденный порок развития головного мозга, в основе которого лежит кистозное расширение IV желудочка с агенезией (отсутствием) червя мозжечка и развитием гидроцефалии. Частота встречаемости 1:25 000, а в структуре новорожденных с гидроцефалией среди всех ее причин встречается до 12%. В случае, если гидроцефалия не развивается, мальформация может манифестировать во взрослом состоянии (редко). Немного нормальной анатомии: В норме из боковых желудочков мозга ликвор через отверстие Монро поступает в III желудочек, оттуда по водопроводу в IV желудочек, через отверстия Мажанди и Люшка - в подпаутинное пространство мозга. Последние в области основания моз
Оглавление
Ликворная киста задней черепной ямки может достигать огромных размеров, а клинически это будет проявляться замедленным моторным развитием новорожденного с постепенным развитием внутричерепной гипертензии.

Что такое симптом "заходящего солнца", где расположен IV желудочек мозга и как происходит циркуляция ликвора, можете прочитать в статье.

Что такое мальформация Денди-Уокера?

Врожденный порок развития головного мозга, в основе которого лежит кистозное расширение IV желудочка с агенезией (отсутствием) червя мозжечка и развитием гидроцефалии.

Частота встречаемости 1:25 000, а в структуре новорожденных с гидроцефалией среди всех ее причин встречается до 12%. В случае, если гидроцефалия не развивается, мальформация может манифестировать во взрослом состоянии (редко).

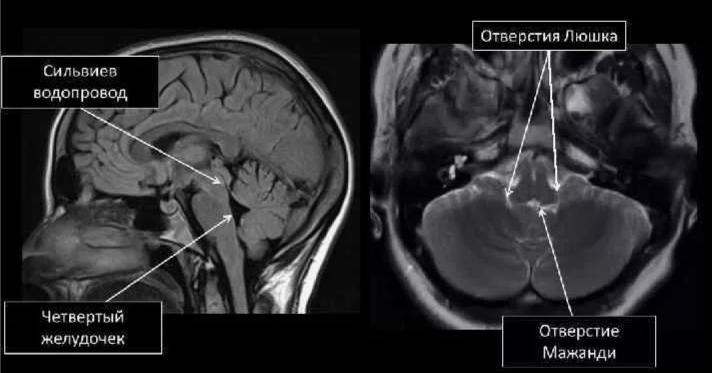
Немного нормальной анатомии:

Отверстия Люшка и Мажанди - это отверстия в полости IV желудочка мозга, через которые имеется сообщение ликвора с субарахноидальным пространством. Отверстие Монро соединяет каждый боковой желудочек с III
Отверстия Люшка и Мажанди - это отверстия в полости IV желудочка мозга, через которые имеется сообщение ликвора с субарахноидальным пространством. Отверстие Монро соединяет каждый боковой желудочек с III

Краткая схема ликвороциркуляции

В норме из боковых желудочков мозга ликвор через отверстие Монро поступает в III желудочек, оттуда по водопроводу в IV желудочек, через отверстия Мажанди и Люшка - в подпаутинное пространство мозга. Последние в области основания мозга формируют ряд базальных цистерн, из которых ликвор поступает в конвекс, омывая полушария головного мозга.

Какие типы мальформации Денди-Уокера существуют?

I тип (истинная мальформация):

  • отсутствуют отверстия Люшка и Мажанди;
  • полное отсутствие червя мозжечка;
  • высокое расположение намета мозжечка;
  • гидроцефалия (как правило).
Слева - вариант нормы, справа - мальформация Денди-Уокера. Ствол мозга гипоплазирован, отсутствует червь и большая часть полушарий мозжечка, а ликворная киста выполняет практически всю заднюю черепную ямку.
Слева - вариант нормы, справа - мальформация Денди-Уокера. Ствол мозга гипоплазирован, отсутствует червь и большая часть полушарий мозжечка, а ликворная киста выполняет практически всю заднюю черепную ямку.

II тип (вариант Денди-Уокера):

  • частичная агенезия червя мозжечка;
  • расширение полости IV желудочка на фоне увеличения задней черепной ямки;
  • может быть стеноз водопровода;
  • мозжечковый намет на своем месте.
II тип мальформации Денди-Уокера
II тип мальформации Денди-Уокера

Какие возможные причины способствуют развитию данной аномалии?

  • внутриутробное инфицирование герпес-вирусами, вирусами краснухи, кори и др.;
  • воздействие ионизирующего излучения;
  • прием препаратов, запрещенных во время беременности;
  • нехватка ряда витаминов и микроэлементов в рационе беременной или уже существующий дефицит ряда из них;
  • наследственная предрасположенность.

Пренатальная (дородовая) диагностика возможна, как правило, во II триместре беременности. Напомню, что в норме мозжечок отвечает за координацию движений, участвует в поддержании равновесия и обеспечивает контроль над мышечным тонусом.

Ещё пример мальформации: практически полностью отсутствует мозжечок, высоко расположен его намет, средний мозг гипоплазирован, заднюю черепную ямку выполняет гигантская ликворная киста.
Ещё пример мальформации: практически полностью отсутствует мозжечок, высоко расположен его намет, средний мозг гипоплазирован, заднюю черепную ямку выполняет гигантская ликворная киста.

Важно отличать мальформацию от следующих кистозных образований ЗЧЯ:

  • киста сумки Блейка;
  • mega cisterna magna;
  • арахноидальная киста.

При мальформации Денди-Уокера всегда имеет место расширение задней черепной ямки (см. ниже).

1. Мальформация Денди-Уокера 2. Арахноидальная киста ЗЧЯ 3. mega cisterna magna 4. Киста сумки Блейка (примеры с материалов радиолога Казакова Д.О.)
1. Мальформация Денди-Уокера 2. Арахноидальная киста ЗЧЯ 3. mega cisterna magna 4. Киста сумки Блейка (примеры с материалов радиолога Казакова Д.О.)

Основные клинические проявления мальформации Денди-Уокера:

  • развитие внутричерепной гипертензии;
  • судорожный синдром;
  • мозжечковая симптоматика (атаксия - нарушение координации движений, нистагм и т.д.);
  • угнетение нормальных физиологических рефлексов новорожденного;
  • симптом "заходящего солнца".
Особое расположение глазных яблок, когда при взгляде вниз между радужной оболочкой и верхним веком видна белая полоска (характерный признак ВЧГ)
Особое расположение глазных яблок, когда при взгляде вниз между радужной оболочкой и верхним веком видна белая полоска (характерный признак ВЧГ)

Лечение симптоматическое. Выполняются, как правило, шунтирующие операции с имплантацией дренажей либо регулирующей клапанной системы для уменьшения внутричерепной гипертензии. Умственная отсталость лечению в данном случае не подлежит.

В следующей статье по диагностике расскажу о мальформации Арнольда-Киари. Благодарю за внимание и до скорых встреч.