Найти в Дзене

Когда инсульт совсем не инсульт...

P.S. Таких случаев довольно таки много. И вот один из них
Здравствуйте, я врач невролог Батенькова Татьяна Юрьевна, углубленно занимаюсь темой инсультов. Добро пожаловать в канал. P.S. Если Вы узнали в описание себя, помните, что это совпадение). На прием обращается женщина, 45 лет. В августе 2024 перенесла ИИ в ПСМА (правой средней мозговой артерии). Как проявлялся инсульт: внезапно появилось несистемное головокружение, плегия (полное отсутствие движений) только в левой руке и через 5-10 полный регресс симптоматики. АД 140/90 на момент приезда скорой медицинской помощи. Спустя 4 месяца обращается ко мне на приём, так как рекомендовали дообследование (в стационаре причину не выявили)
Я пересматриваю диск, есть у меня такая привычка, и что я вижу: За время ожидания (а это пару недель) у пациентки случаются однотипные приступы без потери сознания с развитием слабости в левой руке (с полным регрессом). Она госпитализирована и выписана с диагнозом "Рецидивирующие ТИА"
Итак, на МРТ не

P.S. Таких случаев довольно таки много. И вот один из них

Здравствуйте, я врач невролог Батенькова Татьяна Юрьевна, углубленно занимаюсь темой инсультов. Добро пожаловать в канал.

P.S. Если Вы узнали в описание себя, помните, что это совпадение).

На прием обращается женщина, 45 лет.

В августе 2024 перенесла ИИ в ПСМА (правой средней мозговой артерии). Как проявлялся инсульт: внезапно появилось несистемное головокружение, плегия (полное отсутствие движений) только в левой руке и через 5-10 полный регресс симптоматики. АД 140/90 на момент приезда скорой медицинской помощи.

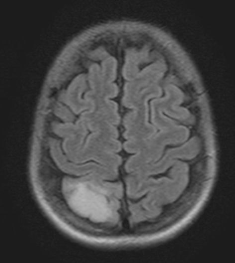
МРТ головного мозга -очаг ишемии в ПСМА с отёком 29х20 мм
МРТ головного мозга -очаг ишемии в ПСМА с отёком 29х20 мм

Спустя 4 месяца обращается ко мне на приём, так как рекомендовали дообследование (в стационаре причину не выявили)

Я пересматриваю диск,
есть у меня такая привычка, и что я вижу:

  • не типичный очаг для ПСМА
  • откуда отек?
  • а нет ли здесь венозного инсульта?
Диск был пересмотрен рентгенологами. И да, это не инсульт в ПСМА
Диск был пересмотрен рентгенологами. И да, это не инсульт в ПСМА

За время ожидания (а это пару недель) у пациентки случаются однотипные приступы без потери сознания с развитием слабости в левой руке (с полным регрессом). Она госпитализирована и выписана с диагнозом "Рецидивирующие ТИА"

Итак, на МРТ не инсульт, а опухоль, у пациентки не повторные инсульты, а эпилепсия, фокальная форма

Тактика меняется кардинально.

Как Вам клинический случай? Оставьте свой мнение под постом и не забудьте подписаться на канал