Добавить в корзинуПозвонить
Найти в Дзене
D. Dubrovsky

«Спонтанная резорбция» грыжи межпозвонкового диска

В порядке ликбеза. Позвоночник состоит из позвоночно-двигательных сегментов (ПДС). Каждый (из тех, что нам интересны) сегмент сформирован, двумя соседними позвонками, которые связаны между собой межпозвонковым диском (МПД), дугоотросчатыми суставами и связочным аппаратом. В качестве расплаты за прямохождение человек подвержен дегенеративным изменениям в этих самых ПДС (это если упростить). Одним из частых результатов дегенеративных изменений является выпячивание межпозвонкового диска за пределы тел позвонков. И если переднее выпячивание редко вызывает клинические симптомы, то заднее выбухание диска раздражает структуры с богатым рецепторным аппаратом, что само по себе больно, а кроме того, может приводить к компрессии невральных структур, что может вызывать боли ишемического характера и нарушение функции мышц, которые обслуживаются поджатым корешком. Чаще всего компримируются корешки спинного мозга, реже артерии, питающие спинной мозг и корешки. Отдельной темой является несоответствие
Оглавление

Введение

В порядке ликбеза. Позвоночник состоит из позвоночно-двигательных сегментов (ПДС). Каждый (из тех, что нам интересны) сегмент сформирован, двумя соседними позвонками, которые связаны между собой межпозвонковым диском (МПД), дугоотросчатыми суставами и связочным аппаратом.

В качестве расплаты за прямохождение человек подвержен дегенеративным изменениям в этих самых ПДС (это если упростить). Одним из частых результатов дегенеративных изменений является выпячивание межпозвонкового диска за пределы тел позвонков. И если переднее выпячивание редко вызывает клинические симптомы, то заднее выбухание диска раздражает структуры с богатым рецепторным аппаратом, что само по себе больно, а кроме того, может приводить к компрессии невральных структур, что может вызывать боли ишемического характера и нарушение функции мышц, которые обслуживаются поджатым корешком. Чаще всего компримируются корешки спинного мозга, реже артерии, питающие спинной мозг и корешки.

Отдельной темой является несоответствие клинических симптомов масштабам дегенеративных изменений. Тут следует отметить, что не только прямая компрессия невральных структур грыжей (редко) или отечным компонентом приводит к появлению клинических симптомов. Но, просто взаимодействие корешков с тканью пульпозного ядра вызывает раздражение корешка провоспалительными цитокинами. Причем, по некоторым источникам, для этого достаточно просто трещины фиброзного кольца [3]. Тут, к слову, стоит помнить, что МРТ делается в положении лежа, т.е. без осевой нагрузки. И некоторых явлений, возникающих в положении стоя, на снимках можно просто не заметить. Кроме того, стоит отметить, что задняя продольная связка достаточно плотно связана с межпозвонковым диском, поэтому при выбухании последнего чаще всего происходит ее деструкция, что конечно раздражает богатый рецепторный аппарат связки.

Тем не менее, тема борьбы с грыжей диска стала актуальной с тех пор как ее определили в качестве основного компонента, вызывающего болевой синдром и нарушение функции. Варианты воздействия на больной диск предлагались различные. Начиная от удаления самой грыжи и диска с последующей фиксацией ПДС, до инъекций папаина для стимуляции иммунного ответа и рассасывания выпавшего фрагмента диска. Все эти методы не давали гарантии хорошего результата, но несли в себе еще и риск осложнений в виде перегрузки соседних сегментов, порчи соседних дисков, образования массивной рубцовой ткани и т.п.

Последние же тенденции в терапии говорят о том, что лучше ничего не делать – само пройдет. Это если совсем грубо. При этом в части случаев организм самостоятельно может элиминировать выпавший фрагмент диска и закрыть дефект в фиброзном кольце (правда абы как, неструктурированным коллагеном, но все-таки может). Этот процесс обзывают «спонтанной резорбцией» грыжи МПД. В случае, если организм не справляется с задачей, включаются другие компенсационные механизмы, позволяющие несколько поменять статодинамический стереотип с целью избежать болевых ощущений.

Надо сказать, что еще Я.Ю.Попелянский (со ссылкой на зарубежных и отечественных нейрохирургов) упоминал процесс резорбции выпавших фрагментов диска с фиброзированием дефекта.

Однако, в последнее время в отечественном информационном поле «спонтанная резорбция» грыжи МПД подается с одной стороны как часто встречающийся факт, а с другой – как результат, свидетельствующий о полном выздоровлении, т.е. к которому следует стремиться.

На мой взгляд, и то и другое не совсем верно и, быстрее всего, представляет собой маркетинговый ход. То же МРТ показывает, что уменьшение размеров грыжевого выпячивания происходит далеко не всегда. У меня была пациентка с достаточно большой грыжей в сегменте L5-S1, которая поделилась МРТ до и через 3 месяца после прохождения лечения в клинике Ткачева-Епифанова в Москве. Морфологические изменения на снимках отсутствуют. Однако проблему боли и ограничения функции там решили вполне себе неплохо. Собственно, это и заставило меня более подробно посмотреть тему «спонтанной резорбции».

Интересны два вопроса. Во-первых, на сколько часто встречается феномен «спонтанной резорбции». Во-вторых, какие факторы способствуют резорбции.

Частота встречаемости феномена

По первому вопросу ситуация следующая. Несколько раз попадалось упоминание о весьма значительной частоте встречаемости резорбции - 66.7% (т.е. 2/3 случаев) [3], похожие цифры - 60-70% отмечены и в более-менее свежем обзоре [4]. И оба раза без указания на источник, что заставляет задуматься. Тем более, что личный опыт говорит совсем о другом.

Внятную оценку можно увидеть в работе отечественных авторов [1]. Исследование небольшое по выборке, однако показывает, что наиболее быстро регресс грыжевой массы происходит при наличии секвестра, несколько дольше – при значительных экструзиях. Причем и в том и другом варианте регресс объема грыжевого выпячивания наблюдался в 100% случаев. При этом резорбция достаточно плохо идет при протрузиях , и вообще случается всего в 25% случаев. Выводы, в общем-то прогнозируемые. Поскольку чем больше объем грыжи, тем большая площадь контакта у чужеродной ткани пульпозного ядра с внутренней средой организма, и тем сильнее иммунный ответ. Так что основной вопрос, который сейчас решает научная мысль – чем отличаются эти «удачные» 25% протрузий от всех остальных. Исследования направлены, в основном, в область биохимии и генетики.

И тут необходимо сделать еще одно замечание – качество выборки пациентов в исследованиях. В отмеченном исследовании [1] из 48 человек только у 8-ми были протрузии, тогда как секвестрирование наблюдалось в 18 случаях. Возникает предположение, что вопрос выборки пациентов стоит обсуждать и в работах [3, 4].

Однако, не думаю, что выборка пациентов формируется специально с целью получить заранее заданный результат. Просто разные по специализации доктора видят совершенно разных по качеству пациентов. В работе [1] исследовались пациенты неврологического стационара. Т.е. уже пациенты со склонностью к нейрохирургии.

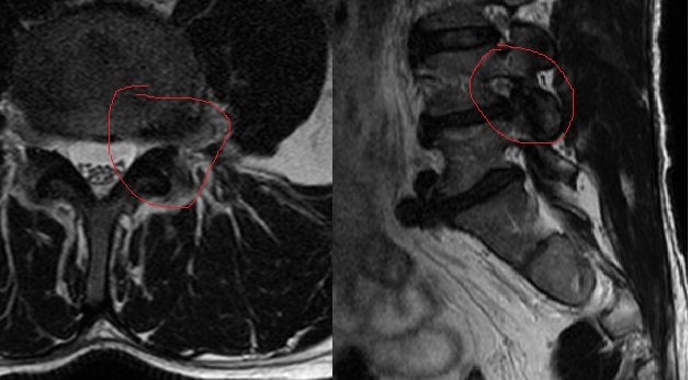
Отмечу, что сам в практике вижу, в основном, протрузии. Я всего лишь массажист, поэтому коллекция МРТ небольшая (порядка 60 томограмм). Секвестрирование наблюдал всего в 3-х случаях. Из которых 2 закончились микрохирургией, а третий как раз резорбцией. Собственно, это единственный случай спонтанной резорбции, который я наблюдал (см. фото).

Масштабная экструзия диска L4-5 в область левого фораминарного отверстия с краниальной миграцией секвестра. Снимок сделан в пределах месяца после появления болевых ощущений и легкого неврологического дефицита.
Масштабная экструзия диска L4-5 в область левого фораминарного отверстия с краниальной миграцией секвестра. Снимок сделан в пределах месяца после появления болевых ощущений и легкого неврологического дефицита.

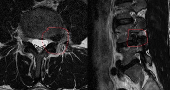
По данному случаю стоит отметить неполную резорбцию, что вполне можно связать с курсом блокад, проведенных в начале терапии (вообще, подход к терапии – отдельная история, требующая отдельной же заметки).

Тот же пациент, отснятый примерно через полгода. На саггитальном срезе хорошо видно, как освободилось фораминарное отверстие.
Тот же пациент, отснятый примерно через полгода. На саггитальном срезе хорошо видно, как освободилось фораминарное отверстие.

Необходимо отметить, что именно протрузии доставляют наибольшее количество проблем, что отмечено и в работе [1] – 100% пациентов с секвестрами и экструзиями оценили результат лечения как положительный, в то время как 5 человек из 8-ми с протрузиями считали свое состояние через год после лечения неудовлетворительным. Я не веду первичный прием. Скорее всего, поэтому ко мне попадают именно люди с протрузиями и небольшими грыжами. Предполагаю, что этот контингент и является клиентами разных остеопатов, мануальных терапевтов и массажистов.

Факторы резорбции

В настоящее время процесс резорбции описан достаточно детально. Если ориентироваться на обзор [4], то при возникновении грыжи МПД, организм определяет клетки пульпозного ядра как чужеродные, возникает иммунный ответ и воспаление. Клетки диска выделяют аттрактанты (моноцитарный хемоаттрактантный протеин – MCP-1), «вытягивающие» из сыворотки моноциты, которые специализируются в макрофагоподобные клетки. В ходе возникшего воспаления выделяется много цитокинов, способствующих резорбции. Одним из основных является матриксная металлпротеиназа (MMP-3 и MMP-7) – энзим, способствующий деградации протеогликанов и ремоделированию разрушенных тканей. Также в процессе принимают активное участие фактор некроза опухолей (ФНО-а) и фактор роста эндотелия сосудов (VEGF). Временной горизонт, на котором стоит рассматривать отмеченные механизмы – 3-12 месяцев.

В этом же обзоре [4] выделены признаки которые можно увязать с увеличением вероятности резорбции грыжи МПД. Все они логически вытекают из процесса резорбции и имеют отношение либо к площади контакта элементов пульпозного ядра с организмом, либо к качеству гемодинамики в месте травмы:

  • размер грыжи – чем больше объем грыжевого выпячивания, тем легче происходит его элиминация, что очевидно, поскольку больший объем грыжи увеличивает вероятность контакта тканей пульпозного ядра с иммунокомпетентными клетками;
  • толщина фиброзного кольца (определяется на МРТ с контрастом) – чем толще кольцо, тем выше вероятность резорбции (на самом деле, тут исследуется фактически степень васкуляризации фиброзного кольца, и вполне очевидно, что большая васкуляризация будет связана с большей вероятностью резорбции);
  • транслигаментарные грыжи чаще поддаются резорбции (высказывается гипотеза, что контакт сосудов эпидурального пространства с элементами пульпозного ядра вызывает каскад реакций, приводящих к элиминации выпавшего фрагмента);
  • отсутствие изменений по типу Modic также связывают с большей вероятностью резорбции (логика здесь также может быть простой: Modic изменения связаны с дегенерацией замыкательной пластинки, через которую запитывается диск, соответственно, большая инфильтрация макрофагами и неоваскуляризация как раз и обнаруживается при отсутствии Modic изменений, т.е. при интактной замыкательной пластинке).

Попадаются также попытки увязать резорбцию с наличием/отсутствием остеофитов и обызвествлением грыжевого выпячивания [2]. На мой взгляд, это не имеет смысла, и о резорбции стоит думать исключительно в острых случаях, возникших впервые.

Резюме

Тема «спонтанной резорбции» грыжи МПД несколько «раздута». Для пациента значимы клинические проявления (боль и ограничение функции), которые часто не соответствуют морфологическим изменениям. И задачей терапии является не «резорбция», а ликвидация клинических проявлений, именно на это стоит ориентировать пациента.

Про резорбцию стоит вообще думать только в острых случаях, возникших впервые. А пациентами специалистов мануальной медицины являются, в основном, люди с протрузиями и хроническим течением заболевания. В их случае тему резорбции вообще лучше не упоминать, чтобы не плодить ложные ожидания.

Ссылки:

1. Спонтанная резорбция грыж межпозвонковых дисков поясничного отдела позвоночника. Л.Р.Курилина, М.Н.Величко, Е.В.Соколова, С.С.Воробьева, Ф.Л.Леньшина Медицинский альманах, №6(30), 2013г.

2. Факторы, способствующие и препятствующие спонтанной резорбции фагоцитами секвестров и грыж поясничных межпозвонковых дисков: практика комплексного лечения с использованием авторского способа мануальной терапии. В.К.Калабанов, Мануальная терапия, №3 (39), 2010г.

3. Патофизиологические аспекты резорбции грыж межпозвонкового диска. А.М.Ткачев, А.В.Епифанов, Е.С.Акарачкова, А.В.Смирнова, А.В.Илюшин, Д.С.Арчаков, Consilium Medicum, №2(21), 2019г.

4. Resorption of Lumbar Disk Herniation: Mechanisms, Clinical Predictors, and Future Directions
Alexander L. Hornung & Ko, JBJS Rewiews, Jan 2023