Добавить в корзинуПозвонить
Найти в Дзене

Даже в 28 лет возрастное саркопеническое ожирение подкрадывается незаметно и разрушает безотказно тела даже у стройных женщин

Вы не подозревали и точно не мечтали о такой бяке, которая ласково и тихо вкрадывается белыми прожилками в вашу мышечную ткань 90 процентам определенных людей и... Вначале в заголовке была цифра 40, но потом я вспомнила, что самая младшая женщина с выраженной саркопенией в моей практике была возраста 28 лет, потом распространение в популяции соразмерно увеличению возраста Страшные слова все объясню, как понять, что вы в группе риска, и что как делать, тоже разберемся. Самое неприятное в этом то, что полное восстановление невозможно, и чем раньше вы начнете профилактику и активацию процессов еще обратимых (я не знаю в какой вы стадии находитесь), тем дольше продлится ваша реальная молодость, выраженная в вашем самочувствии и возможностях. Ну и во внешности, конечно же, куда без нее? Для начала я хочу показать вам, как это выглядит, чтобы вы понимали, что проблема саркопении актуальна и в выраженных лишних объемах и во вроде бы нормальных, а не только у совсем худосочных женщин, как м
Оглавление

Вы не подозревали и точно не мечтали о такой бяке, которая ласково и тихо вкрадывается белыми прожилками в вашу мышечную ткань 90 процентам определенных людей и...

Вначале в заголовке была цифра 40, но потом я вспомнила, что самая младшая женщина с выраженной саркопенией в моей практике была возраста 28 лет, потом распространение в популяции соразмерно увеличению возраста

Страшные слова все объясню, как понять, что вы в группе риска, и что как делать, тоже разберемся.

Самое неприятное в этом то, что полное восстановление невозможно, и чем раньше вы начнете профилактику и активацию процессов еще обратимых (я не знаю в какой вы стадии находитесь), тем дольше продлится ваша реальная молодость, выраженная в вашем самочувствии и возможностях. Ну и во внешности, конечно же, куда без нее?

Начнем с саркопении - уменьшении объема мышечной ткани с частичным ее замещением соединительной и жировой

Для начала я хочу показать вам, как это выглядит, чтобы вы понимали, что проблема саркопении актуальна и в выраженных лишних объемах и во вроде бы нормальных, а не только у совсем худосочных женщин, как можно было бы подумать.

У обеих женщин из сети минимальная мышечная ткань и выраженная в процентном соотношении жировая и соединительная.
У обеих женщин из сети минимальная мышечная ткань и выраженная в процентном соотношении жировая и соединительная.

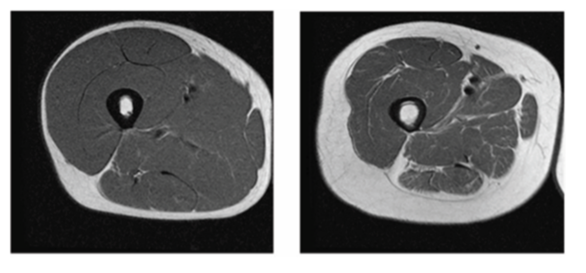
А как это выглядит на снимке КТ, посмотрите слева здоровый срез - темное - это мышцы живые, а светлое это фиброзная и жировая ткань. Оцените пропорции. Справа - клинически проявленная жировая саркопения (по центру кость). Объем при этом в сантиметрах был бы одинаков, а по весу правый даже легче левого.

Слева здоровый человек, справа уже нет
Слева здоровый человек, справа уже нет

У саркопении три стадии

І — пресаркопения, снижение объема мышечной ткани с сохранением сил и возможностей.

Ей наиболее подвержены регулярно худеющие всякими диетами, а также люди стабильного веса, но ведущие сидяче-лежачий образ жизни. На этом этапе ее можно увидеть только на КТ, и то если есть предыдущее КТ, где была норма, если она вообще была.

Есть такие люди, которые в здоровом соотношении жира, мышц и костей бывали только в детстве.

ІІ — саркопения, снижение объема мышечной ткани с уменьшением сил и возможностей;

Здесь уже кроме вечно возвращающегося или постоянного косметического целлюлита добавляется повышенная утомляемость, которую человек может принимать за возрастную лень или просто апатию, а это уже симптом.

ІІІ — тяжелая форма саркопении, снижение объема мышечной ткани с почти полной утратой сил и возможностей;

Здесь уже еле ходящие, но чаще сидящие и лежащие люди. К сожалению настолько утраченное кровообращение уже снижает и умственные способности человека, и кальций вымывается из костей, что шейка бедра может сломаться самопроизвольно.

Знаете, раньше в деревнях самое страшное про бабушек говорили "она уже села". Если села, то скоро помрет.

Саркопеническое ожирение - это двойной удар по человеку, да с подсечкой, и вот почему

Чтобы хоть как-то привести свое самочувствие и внешний вид в порядок, надо, чтобы мышцы окислили избыток жира. Но если мышц нет, то нечем окислять избытки. А если уйти в дефицит калорий, то тело не жир окислит, а мышцы разрушит - так как это энергопотребляющая ткань, и в дефиците в топку идет она.

Замкнутый круг, в который попадают 100% людей, которые не делают регулярной хотя бы зарядки, чтобы ВСЕ мышцы тела получали регулярную нагрузку.

Я не говорю сейчас о пробежках многокилометровых или отжиманиях со штангой, просто зарядку с резинками или своим весом, но не курсами к лету, а всегда.

Ведь это та ситуация, в которую лучше не попадать, чем из нее выбираться.

Итак, группа риска - это те, кто занимается физически иногда, редко или вообще никогда.

С группой риска разобрались, что теперь делать?

1. Вариант бесплатный. Просто делай каждый день. Если не будет комментариев - удалю бесплатное, так что бесплатность буквально на кончиках ваших пальцев.

2. Вариант платный с бесплатным. Полное возрождение в программе привычек здоровой стройности и красоты (есть тариф подешевле самостоятельный и достаточно бюджетный с сопровождением):

Путь к привычкам здоровой красоты с Татьяной Красильцевой

3. Вариант платный и с одновременным устранением целлюлита. (цена будет увеличена уже этой весной). Прекрасно сочетается с предыдущим.

Антицеллюлитный интенсив с Татьяной Красильцевой

По данным исследований в любой стадии саркопении приведение питания к полноценному балансу и регулярное движение дает положительные результаты, но как вы понимаете, не полностью. Чем дольше ждете и откладываете, тем больше синапсов в вас мрет насовсем.

Источники можете найти тут: Чалая В.А., Сеитмеметова С.А. ВОЗРАСТНЫЕ ИЗМЕНЕНИЯ МЫШЕЧНОЙ ТКАНИ. САРКОПЕНИЯ

В продолжение пассивного похудения вам будет интересно прочесть эту статью: