Добавить в корзинуПозвонить
Найти в Дзене
Evolutis Clinic

Метаплазия желудка — главное о патологии, которая опасна раком желудка

Рак желудка — одна из самых частых форм онкологии, которая уносит более 700 тысяч жизней в год, по данным ВОЗ. Но есть и хорошая новость — факторы риска рака желудка довольно хорошо изучены, а развитию болезни зачастую предшествует предраковое состояние, которое можно выявить и лечить. К таким предраковым состояниям относится метаплазия желудка. Это такое, почему возникает, как заметить — рассказали врачи Кунцевского центра Evolutis Clinic. Читайте, чтобы знать и позаботиться о своем здоровье! Метаплазия желудка — это патологический процесс, при котором нормальные клетки слизистой оболочки желудка заменяются клетками другого типа, более характерными для других отделов желудочно-кишечного тракта, таких как кишечник. Этот процесс считается предраковым состоянием и может служить этапом на пути к развитию злокачественных новообразований. В норме слизистая оболочка желудка состоит из клеток, которые производят слизь, защищающую его от агрессивного действия желудочного сока. При метаплазии
Оглавление

Рак желудка — одна из самых частых форм онкологии, которая уносит более 700 тысяч жизней в год, по данным ВОЗ. Но есть и хорошая новость — факторы риска рака желудка довольно хорошо изучены, а развитию болезни зачастую предшествует предраковое состояние, которое можно выявить и лечить. К таким предраковым состояниям относится метаплазия желудка. Это такое, почему возникает, как заметить — рассказали врачи Кунцевского центра Evolutis Clinic. Читайте, чтобы знать и позаботиться о своем здоровье!

Что такое метаплазия желудка?

Метаплазия желудка — это патологический процесс, при котором нормальные клетки слизистой оболочки желудка заменяются клетками другого типа, более характерными для других отделов желудочно-кишечного тракта, таких как кишечник. Этот процесс считается предраковым состоянием и может служить этапом на пути к развитию злокачественных новообразований.

В норме слизистая оболочка желудка состоит из клеток, которые производят слизь, защищающую его от агрессивного действия желудочного сока. При метаплазии эти клетки заменяются на клетки, характерные для кишечника. Это нарушает процесс выработки желудочного сока и пищеварения, делает слизистую желудка более чувствительной к агрессивному воздействию соляной кислоты.

Существуют два основных типа метаплазии желудка:

  1. Полная (кишечная) — клетки желудка заменяются на клетки тонкого кишечника.
  2. Неполная — клетки слизистой желудка приобретают свойства клеток толстого кишечника, что более опасно с точки зрения риска развития рака.

Риски развития злокачественной опухоли тем больше, чем больше размер участка с измененными клетками.

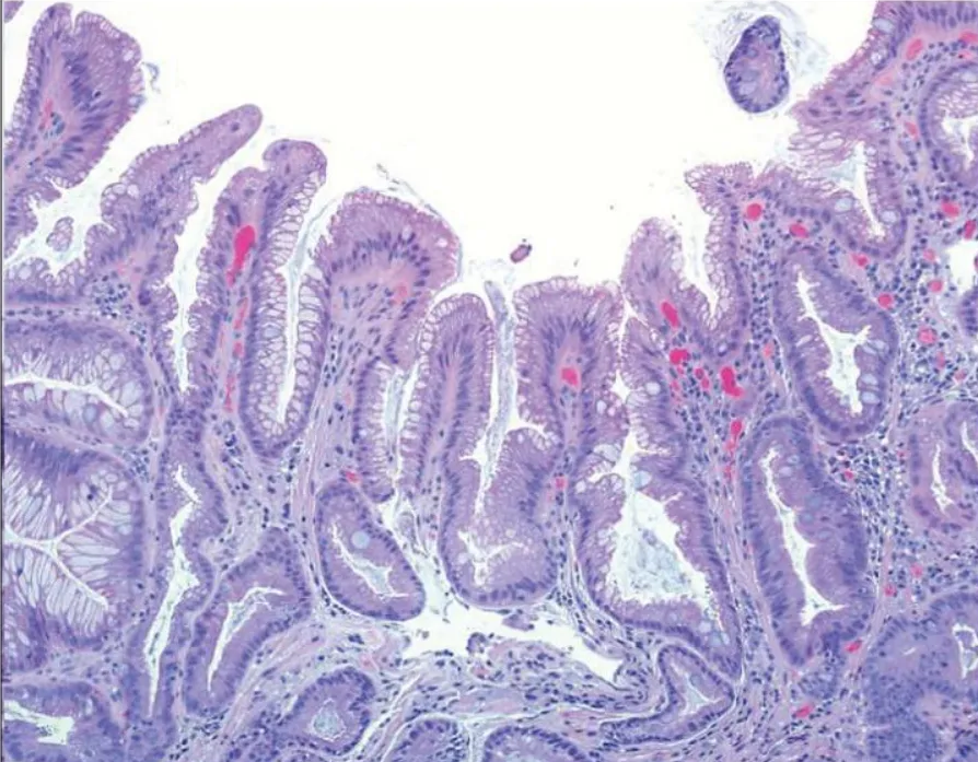
Кишечная метаплазия
Кишечная метаплазия

Интересно! Желудок производит около 2-3 литров соляной кислоты в день для переваривания еды. Кислота настолько сильная, что может растворить металл, но слизистая оболочка желудка защищает желудок. Эпителий желудка обновляется очень быстро — примерно каждые 3-4 дня. Это необходимо, чтобы избежать повреждения тканей от агрессивных кислот.

Причины возникновения

Метаплазия — это адаптивный механизм организма, возникающий в ответ на хроническое воздействие повреждающих факторов. К основным из них относятся:

  1. Инфекция Helicobacter pylori, которая вызывает воспаление, нарушает защитный слой слизи и способствует изменению клеток.
  2. Длительное воздействие кислотного рефлюкса — регулярное забрасывание содержимого желудка в пищевод или обратно в желудок, что может привести к повреждению слизистой.
  3. Длительный гастрит — хронический воспалительный процесс, который нарушает нормальное восстановление клеток слизистой.
  4. Неправильное питание: употребление пищи с высоким содержанием соли, копченостей, маринованных продуктов или недостаток фруктов и овощей.
  5. Курение и алкоголь — токсические вещества, содержащиеся в них, негативно воздействуют на слизистую желудка.
  6. Генетическая предрасположенность — наличие в семье случаев заболеваний желудка.

Интересно! В странах, где принято пить обжигающе горячие напитки, есть очень острую и пряную еду, частота случаев заболевания метаплазией и раком выше.

Основные симптомы

Метаплазия желудка может долгое время протекать бессимптомно или проявляться неспецифическими симптомами, схожими с гастритом. Среди наиболее распространенных признаков:

  1. Боли в области желудка — ощущение дискомфорта, жжения или боли в верхней части живота.
  2. Тяжесть после еды — ощущение переполнения даже после небольших порций еды.
  3. Изжога — рефлюкс может сопровождать метаплазию.
  4. Тошнота и рвота — эти симптомы часто связаны с нарушением работы желудка.
  5. Потеря аппетита и веса.
  6. Нарушение пищеварения — вздутие, метеоризм, запоры или диарея также могут быть проявлениями метаплазии.
-3

Методы диагностики

Диагностика метаплазии желудка включает использование лабораторных и инструментальных методов исследования. Раннее выявление заболевания важно для предотвращения прогрессирования в рак. Основные методы диагностики:

  1. Фиброгастродуоденоскопия (ФГДС) — основной метод, позволяющий визуально оценить состояние слизистой оболочки желудка и выполнить биопсию — забор клеток для гистологического исследования.
  2. Биопсия и гистологическое исследование — проводятся, чтобы выявить наличие клеточных изменений, характерных для метаплазии.
  3. Анализы на Helicobacter pylori, кислотность желудочного сока, крови и кала, для оценки уровня повреждения слизистой, иммунохимические исследования, которые выявляют специфические маркеры, связанные с метаплазией и онкологическими рисками.

Риски метаплазии желудка

Метаплазия желудка считается серьёзным предраковым состоянием. Если не устранить её причины и не лечить основное заболевание, существует высокий риск прогрессирования метаплазии в дисплазию, более выраженные изменения клеток, а позже и в аденокарциному желудка.

Подводя итоги — метаплазия желудка — это состояние, требующее особого внимания и регулярного медицинского контроля. Ранняя диагностика и лечение причин (например, инфекция Helicobacter pylori) могут предотвратить прогрессирование заболевания. При появлении первых симптомов или наличии факторов риска важно обратиться к врачу для своевременного обследования. Регулярные гастроскопии, корректировка образа жизни и правильное питание помогут снизить вероятность развития осложнений и сохранить здоровье.

С заботой о вашем здоровье, врачи Кунцевского центра Evolutis Clinic. Читайте и другие материалы на нашем канале: