Наша сегодняшняя героиня — Елена, 36 лет. У Елены богатая событиями «зубная история»: она уже прошла полноценное ортодонтическое лечение и теперь самая главная задача — эстетика улыбки. Рассказываем, как помогли в этом пациентке.
Содержание
- Предыстория
- Предварительный этап — профессиональная гигиена
- Принцип комплексного отбеливания зубов
- Почему возникает чувствительность
- Как прошло отбеливание у Елены
- Рекомендации после отбеливания
Предыстория
Елена впервые обратилась к нам ещё в 2016 году — на простую консультацию, и с тех пор несколько раз проходила у нас профгигиену. Вскоре она решила заняться исправлением прикуса и начала ортодонтическое лечение в сторонней клинике.
После завершения лечения на брекетах в 2022 году Елена вернулась к нам для продолжения работы над своей улыбкой. В сторонней клинике ей установили временные виниры на жевательные зубы. Этот шаг был необходим для проработки прикуса и решения вопросов, связанных с суставом, в сотрудничестве с ортопедом.
На верхней челюсти были сделаны простенькие временные реставрации для удобства выстраивания зубного ряда в процессе лечения на брекетах. Они немного отличаются по цвету от натуральных зубов — желтоватые.
Временные конструкции обеспечивали временную эстетическую и функциональную коррекцию, — конечно, потом их требовалось заменить на постоянные. Кроме того, пациентка перенесла пластику рецессии десен в области четырех зубов.
К нам Елена обратилась для отбеливания зубов перед реставрацией. Она решила, что на фронтальных зубах, в зоне улыбки, вместо керамических виниров она хочет выбрать реставрацию. А временные виниры на жевательных зубах — заменить на постоянные керамические конструкции. Елена хотела красивые светлые реставрации, поэтому решила сначала отбелить зубы.
Предварительный этап — профессиональная гигиена
Профгигиена перед отбеливанием необходима, чтобы удалить налет и зубной камень, и обеспечить равномерное воздействие отбеливающего состава.
Елена носит ретейнеры, поэтому процедура заняла чуть больше времени, чем обычно — около одного часа и десяти минут. Мы уделили особое внимание чистке вокруг ретейнеров — это требует времени и аккуратности.
Нанесли бальзам на губы и изолировали рабочую область с помощью Оптрагейта (специального мягкого ретрактора). Использовали ультразвуковой скейлер, который эффективно убрал твердые отложения. затем убрали налет: на этом этапе использовали аппарат AirFlow с мягким детским порошком. Зубной нитью и штрипсами прошли труднодоступные участки, особенно там, где есть ретейнеры. Затем использовали зубную щетку и пасту (обычно мы используем пасту Dental Clinic) для того, чтобы зубы блестели и были идеально гладкими. После этого нанесли на зубы реминерализующий состав Tooth Mousse, который нужно держать во рту несколько минут, чтобы укрепить эмаль.
После этого отправили Елену домой на неделю — отбеливать зубы сразу после профессиональной гигиены нельзя. По двум причинам: во-первых, потому что после профгигиены повышается чувствительность зубов, а нам нужно ее наоборот минимизировать, чтобы отбеливание прошло максимально комфортно. Во-вторых, важно, чтобы пациент дома попользовался ремотерапией, — опять же, чтобы во время обделивания снизить чувствительность зубов.
Отбеливание
Через неделю после профгигиены провели Елене отбеливание зубов. Отбеливающий состав решили наносить на зону улыбки от шестого до шестого зуба.
Принцип комплексного отбеливания зубов
Комплексное отбеливание зубов — это процедура, которая сочетает действие специального геля и активирующей лампы. На поверхность зубов наносится отбеливающий гель, основным компонентом которого является перекись водорода. Это вещество активируется под воздействием света. Лампа запускает процесс отбеливания. На нее устанавливается специальный чип, входящий в комплект, который обеспечивает точное время работы — четыре цикла по 15 минут. Без чипа лампа просто не включится.
Свет лампы стимулирует распад перекиси водорода на атомарный кислород и воду. Молекулы кислорода проникают через эмаль зуба в дентин — внутренний слой, где находятся пигменты, придающие зубам темный оттенок. Кислород связывается с пигментами, а вода вымывает их наружу.
Существует миф о том, что отбеливание может повредить эмаль. На самом деле эмаль служит барьером: кислород проходит через нее, не причиняя вреда. Процедура не вызывает трещин, истощения или хрупкости эмали.
А почему появляется чувствительность?
Процесс отбеливания проходит в дентине — слое, где находятся нервные окончания. Когда активированный кислород проникает в дентин, он раздражает длинные отростки нервных клеток, расположенные в микроскопических трубочках. Это вызывает временную чувствительность, которая полностью исчезает спустя некоторое время после процедуры.
Как прошло отбеливание у Елены
Начали с подготовки: изолировали губы и мягкие ткани с помощью Оптрагейта, чтобы во время процедуры пациентке было комфортно, а отбеливающий гель не попал на слизистую. Гель равномерно распределили на передние зубы — с шестого до шестого в верхней и нижней челюсти. Активировали гель лампой. Прошли 3 цикла отбеливания по 15 минут, чтобы добиться глубокого и равномерного осветления.
После завершения третьего цикла очистили зубы от остатков геля. Чтобы минимизировать возможные болевые ощущения и прострелы, кисточкой нанесли на зубы специальный реминерализующий гель с гидроксиапатитом кальция (еще можно использовать гель с нитратом калия).
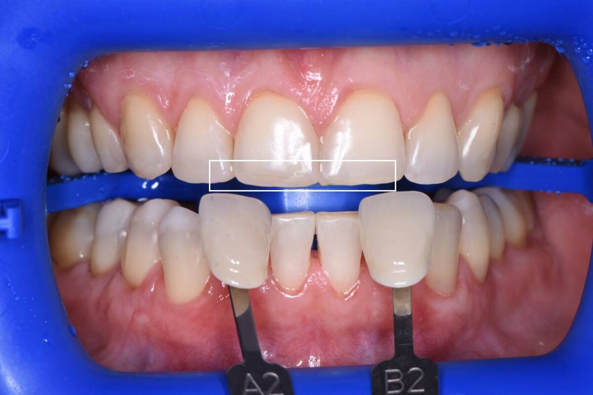
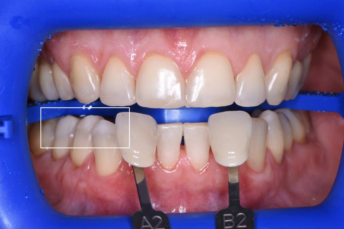
И вот какой потрясающий результат у нас получился:
После отбеливания оттенок зубов Елены — Bleach 3. На передних зубах стали отчетливее видны реставрации, но это не страшно, поскольку они временные.
Рекомендации после отбеливания
Дали Елене подробные рекомендации и реминерализующий препарат с гидроксиапатитом кальция в удобных пакетиках — его нужно использовать в течение дня отбеливания и на следующий. Этот препарат помогает снизить чувствительность зубов, укрепить эмаль и предотвратить болевые ощущения. К утру следующего дня зубы уже полностью адаптируются, и дискомфорт исчезает.
Кроме того, после отбеливания зубы становятся особенно восприимчивыми к красящим веществам. Поэтому в течение двух суток важно строго соблюдать так называемую «белую диету»: можно употреблять только светлую или прозрачную пищу. Подойдут молочные продукты без добавок, белое мясо, курица или индейка, овощи, которые не содержат пигментов, например, очищенные огурцы. Фрукты желательно исключить, но бананы можно оставить в рационе.
Любые продукты с яркими или темными пигментами, включая кофе, чай, красное вино, ягоды, свеклу или морковь, употреблять нельзя. Напитки тоже должны быть прозрачными.
Белая диета помогает избежать окрашивания зубов, так как пигменты из пищи и напитков могут легко проникнуть в эмаль в первые дни после отбеливания. Это временное ограничение, но оно критически важно для сохранения белизны.
Лечащий врач
- Марусова Анна Сергеевна. Ведущий специалист по проведению высококлассных эстетических реставраций. Профессиональная гигиена по швейцарскому протоколу GBT. Отбеливание зубов ZOOM4 со специальной подготовкой для чувствительных зубов.
🏥 Клиника реконструктивной стоматологии
Задать вопрос ✍️ WhatsApp
Позвонить 📞 +7 (495) 989-57-49
Мы рядом 🏥 Москва, Ленинский проспект, 105к1
