Добавить в корзинуПозвонить
Найти в Дзене

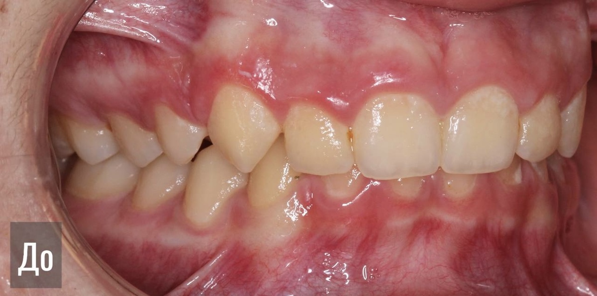
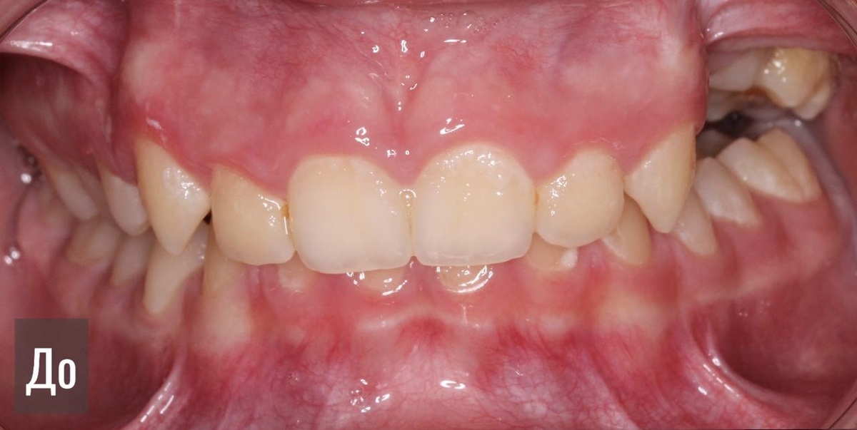
Кейс ортодонтического лечения после резекции опухоли

Ранее пациенту была удалена   оссифицирующая фиброма верхней челюсти слева вместе с зубами 25, 26, в следствие чего образовался костный дефект, а рядом стоящие зубы сместились. Также у пациента был глубокий, дистальный прикус. Одной из сложностей во время лечения было то, что пациент был из другого города и прилетал на приемы к нам. Нам удалось повысить высоту прикуса за счет использования аппарата Твин Форс, скорректировать неправильный прикус. Мы создали место для протезирования, которое будет проведено в возрасте 15-16 лет. В области резекции активного роста челюсти ждать не стоит, поэтому имплантация возможна, не дожидаясь 18-летия. Обратите внимание, как изменилась костная ткань в области дефекта. Она практически полностью восстановилась, закрылось ороантральное сообщение. Созданы все условия для будущего протезирования 😊 #допосле

Ранее пациенту была удалена  

оссифицирующая фиброма верхней челюсти слева вместе с зубами 25, 26, в следствие чего образовался костный дефект, а рядом стоящие зубы сместились. Также у пациента был глубокий, дистальный прикус.

-2

-3

Одной из сложностей во время лечения было то, что пациент был из другого города и прилетал на приемы к нам.

Нам удалось повысить высоту прикуса за счет использования аппарата Твин Форс, скорректировать неправильный прикус. Мы создали место для протезирования, которое будет проведено в возрасте 15-16 лет. В области резекции активного роста челюсти ждать не стоит, поэтому имплантация возможна, не дожидаясь 18-летия.

-4

-5

-6

Обратите внимание, как изменилась костная ткань в области дефекта.

-7

Она практически полностью восстановилась, закрылось ороантральное сообщение. Созданы все условия для будущего протезирования 😊

#допосле