Добавить в корзинуПозвонить
Найти в Дзене

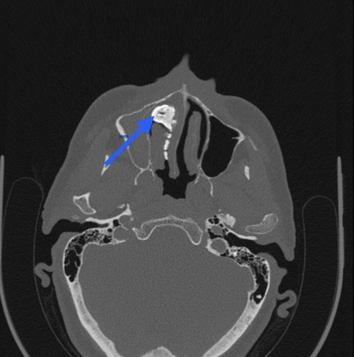
Ринолит размером с перепелиное яйцо

Такая находка ждала на днях лор-врачей Пушкинской клинической больницы имени профессора Розанова В.Н. А началось, по всей видимости, несколько лет назад. 63-летняя пациентка с трудом вспомнила, что вроде когда-то что-то попало в нос, но так как никаких неприятных ощущений не было, то женщина просто выкинула историю из головы. А вот несколько месяцев назад нос стал плохо дышать, появились постоянные выделения, неприятный запах и боль. «Внешних проявлений никаких не было, сюрприз ждал нас внутри. При осмотре было уже понятно наличие в правой половине носа инородного тела, но его размер существенно превзошел наши ожидания. Во время операции под местной анестезий, женщина очень боялась наркоза, стало ясно, что вытащить его целиком мы просто физически не сможем, вариант большой операции был исключен сразу, поэтому пришлось бором разделить инородное тело на несколько частей и по кусочкам вытащить», - рассказывает заведующий лор-отделением Богдан Юрьевич Кулешов.
Это оказался ринолит или,

Такая находка ждала на днях лор-врачей Пушкинской клинической больницы имени профессора Розанова В.Н. А началось, по всей видимости, несколько лет назад. 63-летняя пациентка с трудом вспомнила, что вроде когда-то что-то попало в нос, но так как никаких неприятных ощущений не было, то женщина просто выкинула историю из головы. А вот несколько месяцев назад нос стал плохо дышать, появились постоянные выделения, неприятный запах и боль.

«Внешних проявлений никаких не было, сюрприз ждал нас внутри. При осмотре было уже понятно наличие в правой половине носа инородного тела, но его размер существенно превзошел наши ожидания. Во время операции под местной анестезий, женщина очень боялась наркоза, стало ясно, что вытащить его целиком мы просто физически не сможем, вариант большой операции был исключен сразу, поэтому пришлось бором разделить инородное тело на несколько частей и по кусочкам вытащить», - рассказывает заведующий лор-отделением Богдан Юрьевич Кулешов.

Это оказался ринолит или, так называемый, носовой камень. Он образуется в результате длительного ослизнения инородного тела. Процесс не быстрый, длится месяцами и годами. А судя по размеру данного ринолита, он был с перепелиное яйцо, это заняло далеко не один год.

Процесс извлечения ринолита, в отличие от его формирования, занял всего 40 минут. Проблема решена, пациентка прекрасно дышит, выделения, неприятный запах и боль исчезли. В стационаре она провела всего полдня. Сейчас пациентка уже дома. Ее здоровью больше ничего не угрожает.

Будьте здоровы! На связи https://prbmo.ru/!