Добавить в корзинуПозвонить
Найти в Дзене

История пациента: полная имплантация и тотальное протезирование

В нашу клинику обратилась очаровательная пациентка Марина, историк, экскурсовод, лингвист с большим опытом работы в международных группах. Ситуация с зубами у нее, увы, была плачевная: неточный протез на верхней челюсти, серьезные проблемы с нижней. Пациентка нуждалась в тотальном протезировании, и при этом особое внимание следовало уделить не только комфортному прилеганию протезов, но и сохранению дикции. Марина несколько лет пользовалась съемным протезом, установленным на временных тонких имплантатах с шаровидными аттачментами (ball attachments). Протез был, мягко говоря, далек от совершенства. Он плохо прилегал к альвеолярному отростку, отходил от протезного поля. Кроме того, имелось нарушение смыкания: в заднем отделе зубы не соприкасались, что вызывало функциональные и эстетические проблемы. В общем, этот протез можно отнести к типичной работе «на скорую руку», характерной для устаревших подходов в стоматологии. Ситуация осложнялась состоянием нижней челюсти, где практически все з
Оглавление

В нашу клинику обратилась очаровательная пациентка Марина, историк, экскурсовод, лингвист с большим опытом работы в международных группах. Ситуация с зубами у нее, увы, была плачевная: неточный протез на верхней челюсти, серьезные проблемы с нижней. Пациентка нуждалась в тотальном протезировании, и при этом особое внимание следовало уделить не только комфортному прилеганию протезов, но и сохранению дикции.

Содержание

  • Клиническая картина
  • Планирование лечения
  • Костная пластика: метод сосиски
  • Установка имплантатов
  • Апикально смещенный лоскут: восстановление и укрепление десны
  • Полноценные временные коронки
  • Постоянные цельноциркониевые коронки
  • Уход и результат спустя 3 года

Клиническая картина

Марина несколько лет пользовалась съемным протезом, установленным на временных тонких имплантатах с шаровидными аттачментами (ball attachments). Протез был, мягко говоря, далек от совершенства. Он плохо прилегал к альвеолярному отростку, отходил от протезного поля.

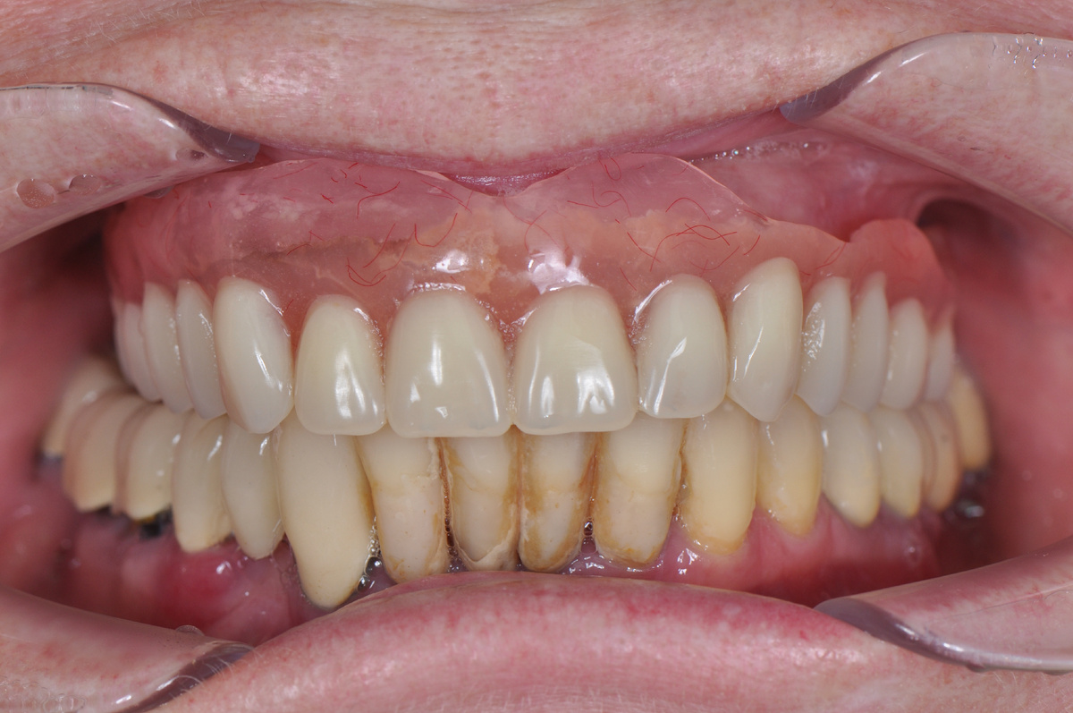
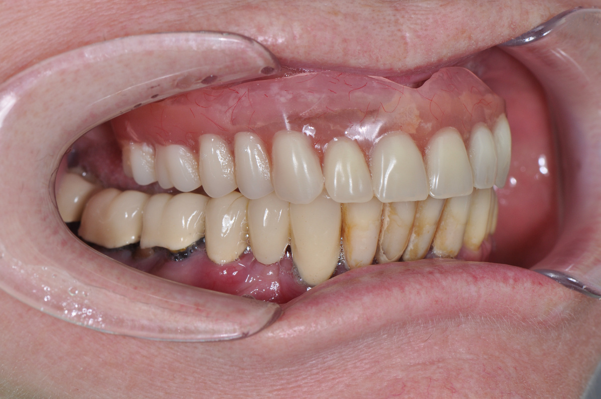
Марина пользовалась неточным съемным протезом
Марина пользовалась неточным съемным протезом

Кроме того, имелось нарушение смыкания: в заднем отделе зубы не соприкасались, что вызывало функциональные и эстетические проблемы.

Нарушение смыкания
Нарушение смыкания

В общем, этот протез можно отнести к типичной работе «на скорую руку», характерной для устаревших подходов в стоматологии.

Ситуация осложнялась состоянием нижней челюсти, где практически все зубы уже были связаны в мосты и при этом имели серьезные нарушения. Вот что мы обнаружили:

  • 44-й зуб отсутствовал
  • корень 46-го зуба полностью растворился
  • 47-й зуб оказался с выраженной перфорацией корня и вышел за пределы кости
  • 48-й зуб имел коронку, но также утратил опору в кости
На нижней челюсти дела также оставляли желать лучшего
На нижней челюсти дела также оставляли желать лучшего

Четыре нижних резца находились в крайне нестабильном положении, практически без костной поддержки.

4 резца практически не в кости
4 резца практически не в кости

Провели КЛКТ ( конусно-лучевая компьютерная томография, метод 3D-диагностики в стоматологии с высокой точностью и низкой лучевой нагрузкой), которая наглядно продемонстрировала, что имплантаты в верхней челюсти установлены с нарушением оси гребня, часть из них частично или полностью находится вне кости.

Конусно-лучевая компьютерная томография
Конусно-лучевая компьютерная томография

Планирование лечения

Рассмотрели несколько вариантов и выбрали основной подход — комплексное восстановление, направленное на создание прочной, эстетичной и функциональной конструкции.

Вот что решили делать:

На верхней челюсти

  • удаление всех зубов
  • Проведение синус-лифтинга (операция по наращиванию костной ткани на верхней челюсти, когда ее не хватает для установки имплантов) на обеих сторонах для создания достаточного объема костной ткани.
  • Костная пластика в области от 14-го до 24-го зуба для увеличения ширины кости.
  • Установка четырех имплантатов с одной стороны и четырех с другой, — это позволит обойтись без множества операций.
  • Снятие слепков, после чего уже через 2-3 дня установка временной конструкции с 10 зубами.

На нижней челюсти

  • Удалить все зубы.
  • После чего выдержать необходимое время для заживления тканей.
  • И установить качественные имплантаты.

Для имплантации предложили систему Astra Tech — надежный и проверенный бренд, который пациентка одобрила. Этот план лечения позволил минимизировать количество хирургических вмешательств и сохранить здоровье тканей.

Костная пластика: методика сосиски

Выбрали методику сосиски (сосидж-технику (Sausage Technique)) — это методика объемного увеличения костной ткани, разработанная профессором Иштваном Урбаном, использовали материалы Bio-Oss (натуральный костнозамещающий материал, состоящий из минеральных компонентов бычьей кости) и Bio-Gide (двухслойная резорбируемая мембрана для направленной регенерации костной и пародонтальной ткани). Это позволило минимизировать травматизацию и добиться стабильных результатов.

Что было сделано:

  • Синус-лифтинг: поместили в пазуху чистый Bio-Oss — высококачественный ксеногенный костный материал, обеспечивающий стабильное наращивание костной ткани. Для улучшения регенерации добавили BMP (bone morphogenetic protein) — белок, стимулирующий рост собственной костной ткани.
  • Костная пластика по ширине: в области недостаточной ширины кости использовали комбинацию BMP и Bio-Oss. Для фиксации материала применили мягкие мембраны BioGuide, которые создают идеальные условия для заживления и формирования новой кости.

После завершения процедуры сразу стало видно увеличение объема кости.

Видно, как как увеличился объем
Видно, как как увеличился объем

Удалили все нижние зубы. Конечно, некоторое время Марине пришлось ходить с отеками.

Послеоперационный отек
Послеоперационный отек

Установка имплантатов и временных коронок

После удаления зубов на нижней челюсти тщательно очистили область от бактерий и остатков ткани, оставив челюсть чистой для имплантации. Установили 8 имплантатов Astra Tech за одну операцию: 7, 6, 4, 2 — симметрично с обеих сторон. Костная пластика на нижней челюсти не потребовалась, поскольку ткани хорошо восстанавливались естественным образом.

Имплантация нижней челюсти
Имплантация нижней челюсти

Через два месяца после имплантации на нижней челюсти изготовили и установили временные коронки. Они точно имитируют форму и цвет натуральных зубов. Такие коронки не только восстанавливают функции, но и обеспечивают пациентке комфорт в повседневной жизни.

-9

Спустя шесть месяцев после костной пластики на верхней челюсти и периода заживления установили 8 имплантатов. Перед имплантацией взяли биопсию кости для оценки ее качества — результаты подтвердили успешность регенерации.

Имплантация верхней челюсти
Имплантация верхней челюсти

Апикально смещенный лоскут: восстановление и укрепление десны

Спустя 3 месяца провели Марине операцию с использованием техники апикально смещенного лоскута — одного из ключевых методов для восстановления и укрепления зоны десны вокруг имплантатов. Это позволило создать прочную и устойчивую тканную манжету, защищающую имплантаты от негативного воздействия окружающих структур.

Что такое апикально смещенный лоскут?

Методика направлена на перемещение зоны кератинизированной, плотной ткани (например, с неба) в область некератинизированной, подвижной слизистой. Это необходимо для:

  • укрепления десны, чтобы круговые мышцы, уздечки и другие подвижные структуры не стягивали ткань вокруг имплантатов.
  • предотвращения образования карманов, которые могут привести к скоплению налета и последующему воспалению.
  • создания биологически безопасного пространства для стабильного контакта имплантата с костью.

Как проводится операция?

Выполнили разрез с заходом на кератинизированную (неподвижную) десну. Сформировали лоскут расщепленным способом: надкостница остается на кости, создавая надежную основу для заживления.

-11

Отсепарировали, мобилизовали и аккуратно подшили лоскут в нужную зону. Использовали П-образные горизонтальные матрасные швы, которые надежно закрепляют лоскут в апикальной (нижней) позиции.

-12

Чтобы добиться стабильности и эстетичного заживления, установили формирователи десны. Белые нитки дополнительно фиксируют лоскут, защищая его от кровотечения и смещения. Зоны, оставленные открытыми, гранулируются (заживают), образуя плотную кератинизированную ткань.

-13

И вот как это заживает:

-14

Полноценные временные коронки

Сняли слепки с помощью трансферов, что позволило технику изготовить прототипы временных коронок.

Сняли слепки с помощью трансферчеков
Сняли слепки с помощью трансферчеков

Были созданы первые полноценные временные коронки с опорой на 16 имплантатов. Они отличаются гармоничной анатомией, соответствием размерам и ретрузивным контролем (функция, которая не позволяет суставу уходить назад), что обеспечивает правильное распределение нагрузки. Важно, что шахты имплантатов расположены на язычной стороне, благодаря чему коронки выглядят естественно, а их функциональность оптимальна.

Полноценные временные коронки
Полноценные временные коронки

Кронки повторяют правильные анатомические формы. Все мультиюниты крепко зафиксированы в имплантатах, а кератинизированная десна вокруг обеспечивает надежную поддержку и защиту.

Коронки получились именно такими, как нужно
Коронки получились именно такими, как нужно

Зачем нужны временные коронки?

Временные коронки выполняют функцию прототипа будущего окончательного изделия и позволяют пациенту заранее оценить внешний вид и комфорт предполагаемой конструкции. Дело в том, что создание постоянных циркониевых коронок — это очень сложный и кропотливый процесс. Любая ошибка может привести к необходимости переделывать изделие, что крайне затратно как по времени, так и по стоимости.

Временные коронки дали пациентке возможность привыкнуть к новому размеру зубов, проверить, насколько удобно ей с ними говорить, как будет ощущаться произношение. Их всегда можно подправить — это дает уверенность в том, что итоговый результат будет идеально подходить.

Постоянные цельноциркониевые коронки

Сняли временные коронки, проверили, не оказывают ли они лишнего давления на десну, сделали новые оттиски для дальнейшего изготовления постоянных конструкций.

Для изготовления постоянных коронок мы используем цельноциркониевые конструкции, которые обладают отличной прочностью и долговечностью. На передние шесть зубов наносится тонкий слой облицовочной керамики для достижения максимальной эстетики.

Постоянные цельноциркониевые коронки
Постоянные цельноциркониевые коронки

Уход за имплантатами и коронками

Имплантаты требуют внимания и в плане гигиены. Особенно это касается мультиопорных конструкций — на них со временем скапливается пища и налет.

Поэтому регулярная гигиеническая чистка — это основа ухода за имплантатами. Марина пришла на прием спустя 3 года после протезирования, мы сняли коронки и проверили, не попала ли пища в конструкцию. Аккуратно удалили остатки пищи, простерилизовали антисептиком и вернули коронки на место.

Лечащий врач

  • Шор Евгений Ильич. Основатель и Главный врач Клиники реконструктивной стоматологии. Хирург-имплантолог и ортопед. Планирование лечения. Хирургическая подготовка перед полной имплантацией. Костная пластика. Пластика десны с использованием методики Апикально смещенный лоскут. Установка имплантатов. Тотальное протезирование.

🏥 Клиника реконструктивной стоматологии

Задать вопрос ✍️ WhatsApp

Позвонить 📞 +7 (495) 989-57-49

Мы рядом 🏥 Москва, Ленинский проспект, 105к1

Читайте также:

Смотрите также: