Найти в Дзене

Функциональные нарушения желчевыводящей системы (УЗИ)

Функциональные нарушения желчевыводящей системы (дискинезии желчевыводящих путей (функциональные билиарные расстройства, ФБР) - функциональные расстройства билиарного тракта, представляющие собой симптомокомплекс, развивающийся в результате моторно-тонической дисфункции желчного пузыря, желчных протоков и сфинктеров без признаков органических изменений (воспаления, камнеобразования и др.) и проявляющийся нарушениями оттока желчи. Частота – 15-20% в популяции. По локализации: По этиологии: По функциональному состоянию: В Международной классификации болезней (МКБ-10) под рубрикой К82.8 выделены только «дискинезия желчного пузыря и пузырного протока» и под рубриками К83.3 – «недостаточность сфинктера Одди», К83.4 - «спазм сфинктера Одди». В критериях IV Римского консенсуса (2016) используется термин "Функциональные расстройства желчного пузыря и сфинктера Одди"
(ФРЖПСО). Классификация IV Римского консенсуса 2016 года: Е. Функциональные расстройства желчного пузыря и сфинктера style='text
Оглавление

Функциональные нарушения желчевыводящей системы (дискинезии желчевыводящих путей (функциональные билиарные расстройства, ФБР) - функциональные расстройства билиарного тракта, представляющие собой симптомокомплекс, развивающийся в результате моторно-тонической дисфункции желчного пузыря, желчных протоков и сфинктеров без признаков органических изменений (воспаления, камнеобразования и др.) и проявляющийся нарушениями оттока желчи. Частота – 15-20% в популяции.

Классификация дискинезий ЖВС

По локализации:

  • Дисфункция желчного пузыря (гиперкинетический/гипокинетический тип).
  • Дисфункция сфинктера Одди (спазм, гипотония, атония).
  • Дисфункция желчевыводящих протоков (гиперкинетический/гипокинетический тип).

По этиологии:

  • Первичная дисфункция при отсутствии органических изменений (10-15%) - при первичных нарушениях сократимости желчного пузыря или сфинктера Одди.
  • Вторичная дисфункция на фоне органических изменений гепатобилиарной
    и дуоденопанкреатической зоны (85-90%).

По функциональному состоянию:

  • С гиперфункцией (гипермоторная, гиперкинетическая).
  • С гипофункцией (гипомоторная, гипокинетическая).

В Международной классификации болезней (МКБ-10) под рубрикой К82.8 выделены только «дискинезия желчного пузыря и пузырного протока» и под рубриками К83.3 – «недостаточность сфинктера Одди», К83.4 - «спазм сфинктера Одди».

В критериях IV Римского консенсуса (2016) используется термин "Функциональные расстройства желчного пузыря и сфинктера Одди"
(ФРЖПСО).

Классификация IV Римского консенсуса 2016 года:

Е. Функциональные расстройства желчного пузыря и сфинктера style='text-underline:single'>Одди
(ФРЖПСО).

Е1. Билиарная боль

Е1а. Функциональное билиарное пузырное расстройство (ФБПР).

Е1b. Функциональное расстройство билиарного сфинктера Одди (ФРБСО).

Е2. Функциональное расстройство панкреатического сфинктера (ФРПСО).

Причины развития дискинезий ЖВП:

  • Воспалительно-дистрофические заболевания гепатобилиарной и дуоденопанкреатической зоны.
  • Аномалии развития желчного пузыря (деформации, перегибы, удвоение).
  • Нарушения функции клапанного аппарата желчевыводящих путей (сфинктеров
    Люткенса и др.).
  • Постхолецистэктомический синдром.
  • Гормональные нарушения при беременности, предменструальном синдроме,
    сахарном диабете, заболеваниях щитовидной железы.
  • Системные заболевания соединительной ткани.
  • Воспалительные заболевания кишечника.
  • Применение лекарств, влияющих на мышечную сократимость.

Патогенетические механизмы развития дискинезий ЖВП:

  • Нарушение нервной регуляции сфинктерного аппарата желчевыводящих путей функционального характера (чаще при гипермоторных формах).
  • Органические изменения с нарушением пассажа желчи и билиарной гипертензией (чаще при гипомоторных формах) - воспалительные заболевания двенадцатиперстной кишки (хронический дуоденит, папиллит,
    дуоденостаз с дуоденальной гипертензией), воспалительные и склерозирующие сужения желчных протоков, деформации желчного пузыря, смещение желчного пузыря при гепатомегалии, снижение сократимости желчного пузыря при перихолецистите.

Клинические проявления: В основном боли различного характера в правом подреберье (билиарный» тип болевого синдрома - чаще) или
в эпигастрии и левом подреберье («панкреатический» тип болевого синдрома - реже) обычно после погрешностей в диете. При
гипомоторной дискинезии обычно наблюдается тяжесть в правом боку, иногда горечь во рту и тошнота; из-за застоя желчи печень бывает увеличена. При гипермоторной дискинезии часто наблюдаются приступообразные боли в правом подреберье после жирной и пряной пищи, иногда от быстрой ходьбы и бега.

Диагностические критерии ФБР (согласно критериям III Римского консенсуса):

  • Боль в виде эпизодов или дискомфорт в эпигастрии и/или в правом/левом верхнем квадранте живота (подреберьях), имеющие характеристики:
  • Длительность эпизодов боли или дискомфорта достигает 30 минут и более.
  • Боли возникают, как правило, после еды (от 15 минут до 3 часов).
  • Боли рецидивируют (не обязательно ежедневно), от 1 и более раз в неделю, в течении 12 месяцев.
  • Боли нарастают и приобретают устойчивый характер, достигают постоянного уровня, а интенсивность достаточна для нарушения повседневной активности и
    госпитализации.
  • Боли не изменяются или не уменьшаются после стула, после приема антацидов или при перемене положения тела.
  • Исключены другие заболевания, объясняющие боль.

Боли могут сочетаться с подтверждающими симптомами: Ассоциированы
с тошнотой или рвотой. Иррадиируют в спину и/или правую подлопаточную область. Будят в середине ночи (обычно после 2 часов).

Возможная сопутствующая симптоматика: Диспепсические проявления - горечь во рту, отрыжка воздухом, быстрое насыщение и др. Астеноневротические симптомы.

Методы обследования при ФБР:

  • Ультразвуковое исследование органов брюшной полости.
  • Холекинетическая проба при УЗИ с желчегонным завтраком или введением холецистокинина (панкреозимина)/секретина и др.
  • Эндоскопическая ультрасонография (ЭУЗИ, в т.ч. с введением секретина) при подозрении на изменения БДС или наличие в этой зоне мелких конкрементов.
  • Эндоскопическая ретроградная холецистопанкреатография (ЭРХПГ), в т.ч. с манометрией сфинктера.
  • Прямая эндоскопическая манометрия сфинктера Одди - «золотой стандарт» диагностики ФРСО (в норме базальное давление в сфинктере не превышает 40 мм рт. ст. с периодическими сокращениями с давлением не более 240 мм рт. ст. и частотой сокращений не более 10 в минуту).
  • Динамическая гепатобилисцинтиграфия (ДГБСГ) с проведением провокационных проб в виде желчегонного завтрака или внутривенного введения холецистокинина.
  • Магнитно-резонансная холангиопанкреатикография (МРХПГ), в т.ч. со стимуляцией секретином.

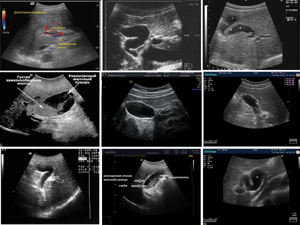
Функциональные нарушения желчевыводящей системы при УЗИ:

  • Может быть увеличение размеров желчного пузыря при его гипотонии.
  • Могут быть деформации и перегибы желчного пузыря.
  • При дисфункции сфинктера Одди может быть небольшое расширение холедоха и/или панкреатического протока.
  • Может быть эхогенный пристеночный осадок (сладж) или диффузная взвесь (мелкие эхогенные сигналы) в желчном пузыре – дифференцировать с ультразвуковыми артефактами!!!
  • Может быть замазкообразная желчь в желчном пузыре или в желчных протоках – объемное изоэхогенное образование без акустической тени и без определяемой при ЦДК васкуляризации – дифференцировать
    с опухолью!!!
  • При вторичной дисфункции на фоне других заболеваний (постхолецистэктомический синдром, холелитиаз, холецистит, холангит, хронический панкреатит и др.) – соответствующая УЗ-картина.
  • Основную роль в оценке моторно-эвакуаторной функции желчевыводящей системы играет холекинетическаяпроба с пищевой нагрузкой.
-2
-3
-4
-5
-6
-7
-8

Оценка тонуса стенки желчного пузыря

Методика:

Проводится оценка деформации стенки желчного пузыря при слабом, среднем и сильном давлении датчиком на брюшную стенку.

Оценка результатов:

  • При пониженном тонусе: выраженная деформация при слабом давлении.
  • В норме: умеренная деформация при сильном давлении без болевых ощущений.
  • При повышенном тонусе: нет деформации даже при сильном давлении. Если есть признаки повышения тонуса желчного пузыря, то смотрят еще раз через 10 минут после приема 1 таб. (0,5 мг) нитроглицерина (вызывает дилатацию сфинктера Одди – для дифференциации между стриктурой и дисфункцией сфинктера Одди – при стриктуре тонус не снижается.

Автор - Иогансен Юрий Александрович, врач ультразвуковой диагностики, кандидат медицинских наук.