Найти в Дзене
Мedical Insider

Псевдоартроз: симптомы и лечение

Оглавление

Псевдоартроз, или ложный сустав, возникает, когда кости не срастаются должным образом после травмы или операции. Например, это может произойти, если хирурги проводят операцию по спондилодезу, но кости позвоночника не сраслись. Существуют также некоторые формы врожденного псевдоартроза.

Что такое псевдоартроз?

Псевдоартроз возникает, когда две кости не срастаются должным образом. Это может произойти после травмы или после операции, направленной на сращивание костей. Например, хирурги иногда используют операцию по спондилодезу — сращивание позвонков в одну сплошную кость, чтобы улучшить стабильность, восстановить переломы или улучшить состояние при сколиозе. Если кости не срастаются успешно, у человека развивается псевдоартроз.

В исследовании 2016 года сообщалось, что до 50% операций по спондилодезу заканчиваются неудачей.

Серьезен ли псевдоартроз?

Тяжесть псевдоартроза зависит от того, какие кости он поражает, и причин операции. Псевдоартроз является одной из основных причин боли после операции. Однако примерно в 30% случаев у людей с этим состоянием нет никаких симптомов.

Причины псевдоартроза

Несколько факторов могут вызвать псевдоартроз. Они включают в себя:

Ранняя нагрузка после операции: Если человек начинает давать движение слишком рано после операции по сращиванию и до того, как кости начали процесс сращивания, это может привести к псевдоартрозу.

Заболевания: Некоторые патологии могут вызвать псевдоартроз. Например, анкилозирующий спондилоартрит — это воспалительное заболевание, которое приводит к срастанию костей позвоночника. Псевдоартроз — это потенциальное осложнение, возникающее, когда кости почти срастаются, но этого не происходит.

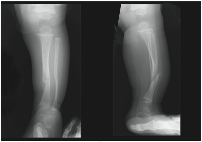
Врожденные заболевания: В редких случаях псевдоартроз может быть врожденным заболеванием. Например, у человека может быть врожденный псевдоартроз ключицы. Также возможен врожденный псевдоартроз большеберцовой кости.

Хирургические вмешательства: Исследование 2021 года показало, что у взрослых, перенесших спондилодез, псевдоартроз часто возникает вследствие рисков, связанных с определенными хирургическими подходами, которые используют врачи.

Факторы риска развития псевдоартроза

Определенные факторы образа жизни, состояния здоровья и лекарственные препараты повышают риск псевдоартроза. Они включают:

  • курение
  • пожилой возраст
  • остеопороз
  • нарушения обмена веществ
  • диабет
  • ожирение
  • длительное употребление стероидов
  • недоедание
  • дефицит витамина D

Кроме того, в исследовании 2019 года были проанализированы данные людей, у которых развились инфекции позвоночника в месте операции. Ученые обнаружили, что количество позвонков, подвергшихся сращиванию, было основным предиктором развития у человека псевдоартроза.

Симптомы псевдоартроза

У некоторых людей с псевдоартрозом может не быть никаких симптомов. Другие могут отмечать следующие симптомы, такие как:

  • ограниченная подвижность
  • постоянная боль в суставах
  • лихорадка

Диагностика псевдоартроза

Врачи назначают визуализирующие методы диагностики, такие как рентгенография или компьютерная томография, чтобы проверить наличие псевдоартроза. Данные методики дают подробную картину скелета, на основании которой можно поставить диагноз.

Лечение псевдоартроза

Лечение псевдоартроза зачастую включают хирургическое вмешательство. В тех случаях, когда операции по сращиванию костей ранее не увенчались успехом, хирургия фокусируется на попытке восстановить кость во второй раз.

Авторы исследования 2021 года также рекомендуют хирургическое вмешательство для лечения врожденного псевдоартроза ключицы. Это включает в себя резекцию ключицы с использованием костного трансплантата из гребня подвздошной кости малого таза. Врожденный псевдоартроз большеберцовой кости может быть сложным в лечении. В исследовании, проведенном в 2021 году, говорится, что в среднем только 50% хирургических вмешательств по поводу данного состояния приводили к восстановлению без рефрактерности.

Однако хирургический метод, известный как намеренное перекрестное соединение большеберцовой и малоберцовой костей, увеличил вероятность успеха до 100% восстановления без рефракции.

Электростимуляционная терапия — еще один возможный методов лечения. Исследование, проведенное в 2020 году, показало, что устройства для электростимуляции могут значительно увеличить скорость сращивания костей у людей, перенесших спондилодез.

Заключение

Псевдоартроз возникает, когда две кости не срастаются успешно. Это может произойти после травмы или после операции по сращиванию костей. Это распространенное осложнение таких процедур, особенно при сращивании костей позвоночника. Врачи-травматологи могут выполнять дополнительные хирургические процедуры для его лечения.

Статья по теме: Холодный или согревающий компресс: какой и когда применять?