Найти в Дзене
Доктор Ленар Кашапов

Как узнать о холестериновых бляшках в сердце быстро и достоверно

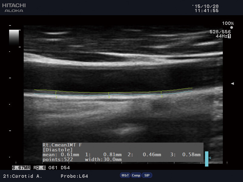
Атеросклероз - это заболевание, при котором на внутренней стенке сосудов откладывается холестерин, который со временем перекрывает ток крови и возникают такие заболевания как инфаркт, инсульт и т.д., приводящие к печальным последствиям. Поэтому важно заранее узнать о состоянии сосудов сердца и головы, чтобы максимально предотвратить эти опасные заболевания. Если сдать кровь на холестерин - мы можем узнать, что он повышен, вот только мы не будем знать как дела у наших сосудов - есть ди там бляшки, мешают ли они току крови и т.д. Да, существует такая диагностика, как ангиография, но для нее есть особые показания, всем ее не делают. Но есть другой способ узнать о проблемах в коронарных артериях - это сделать УЗИ сосудов шеи (ЭКДС) с расчетом толщины "комплекс интима-медиа" (КИМ). Интима сосудов — это внутренняя часть артерий, которая выстилает внутреннюю полость. Её толщина — показатель возраста сосудов. Также она косвенно показывает нам о том, что там есть холестериновые бляшки. Интере

Атеросклероз - это заболевание, при котором на внутренней стенке сосудов откладывается холестерин, который со временем перекрывает ток крови и возникают такие заболевания как инфаркт, инсульт и т.д., приводящие к печальным последствиям.

Поэтому важно заранее узнать о состоянии сосудов сердца и головы, чтобы максимально предотвратить эти опасные заболевания.

Если сдать кровь на холестерин - мы можем узнать, что он повышен, вот только мы не будем знать как дела у наших сосудов - есть ди там бляшки, мешают ли они току крови и т.д. Да, существует такая диагностика, как ангиография, но для нее есть особые показания, всем ее не делают. Но есть другой способ узнать о проблемах в коронарных артериях - это сделать УЗИ сосудов шеи (ЭКДС) с расчетом толщины "комплекс интима-медиа" (КИМ). Интима сосудов — это внутренняя часть артерий, которая выстилает внутреннюю полость. Её толщина — показатель возраста сосудов. Также она косвенно показывает нам о том, что там есть холестериновые бляшки. Интересно, что увеличение толщины КИМ сонной артерии всего на 0,1 мм статистически значимо увеличивает риск инфаркта сердца на 15%, а риск инсульта мозга на 18% с учетом поправок на возраст и пол. А ведь это основные причины смерти.

-2

Теперь перейдем к цифрам:

В норме толщина комлекса интима-медиа 0,9+0,1 мм!

Если толщина выше - это значит в сосудах сердца, вероятнее всего имеются холестериновые бляшки и уже необходимо предпринимать меры по их лечению

Если статья понравилась - ставьте пальцем вверх и подписывайтесь на мой канал!