Найти в Дзене

Все думали, что у него инсульт. А оказалось, что все дело в хобби

Приветствую, друзья! Эта история произошла в 2015 году, когда в одну из больниц в северной части Нью-Йорка поступил мужчина. Он был крайне растерянным и не понимал где находится. Помимо этого он утратил способность ходить. Как правило если такой пациент поступает в клинику, то первый диагноз, который приходит в голову - острое нарушение мозгового кровообращения, другими словами инсульт. В таких случая полагается быстро провести нейровизуализацию с помощью компьютерной томографии или МРТ. Ему было выполнено МРТ, которая к удивлению врачей дала неожиданные результаты. Изменения головного мозга не были похожи на те, которые возникают при инсульте. Это было что-то новое и непонятное. Полистав литературу, врачи пришли к выводу, что столкнулись с крайне редким заболеванием - болезнь Крейтцфельдта-Якоба. Это был 5 случай, зарегистрированный в США. Это недуг. который вызывается особыми инфекционными белками - прионами. Это формы жизни, которые еще более примитивные, чем вирусы. Это заболе

Приветствую, друзья!

Эта история произошла в 2015 году, когда в одну из больниц в северной части Нью-Йорка поступил мужчина. Он был крайне растерянным и не понимал где находится. Помимо этого он утратил способность ходить.

Как правило если такой пациент поступает в клинику, то первый диагноз, который приходит в голову - острое нарушение мозгового кровообращения, другими словами инсульт.
В таких случая полагается быстро провести нейровизуализацию с помощью компьютерной томографии или МРТ.

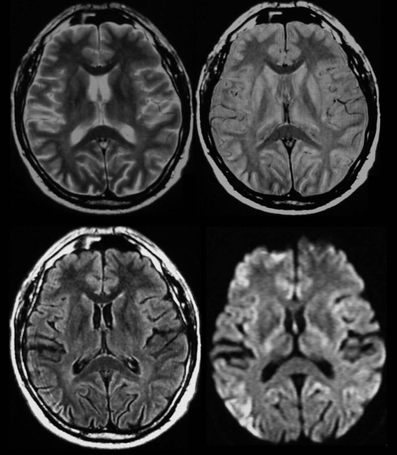
Ему было выполнено МРТ, которая к удивлению врачей дала неожиданные результаты. Изменения головного мозга не были похожи на те, которые возникают при инсульте.

Recommended by
Recommended by

Это было что-то новое и непонятное. Полистав литературу, врачи пришли к выводу, что столкнулись с крайне редким заболеванием - болезнь Крейтцфельдта-Якоба. Это был 5 случай, зарегистрированный в США.

Это недуг. который вызывается особыми инфекционными белками - прионами. Это формы жизни, которые еще более примитивные, чем вирусы.

Это заболевание довольно часто встречается у женщин-аборигенов Новой Гвинеи, в обычаи которых входит ритуальное поедание человеческого мозга. При этом женщины получают массивную дозу прионов.

Этот известный факт навел врачей на одну мысль. Для того, чтобы подтвердить свою теорию им потребовалось поговорить с родственниками больного.

-3

Не подумайте, что пациент был любителем человеческих мозгов, подобно зомби. Но выяснился другой очень важный факт. Мужчина всю свою жизнь увлекался охотой.

В числе другой его добычи часто были белки, как раз таки чьи мозги он и употреблял в пищу.

Хотя не исключается факт того, что мужчина ел просто мясо, которое было "испачкано" мозговой тканью животного.

Мужчина еще длительное время находился на лечении по поводу развившихся у него симптомов, но дальнейшая судьба его не известна.

И в завершение хотелось бы отдать должное врачам этой клиники, которые сумели поставить труднейший диагноз.

Не забывайте подписываться на канал и ставить лайки

Мужчина чуть не умер из-за привычки нюхать грязные носки