Добавить в корзинуПозвонить
Найти в Дзене
Здоровый Повар

Что есть чтобы вылечить переломы?

Начну с не большой предыстории.
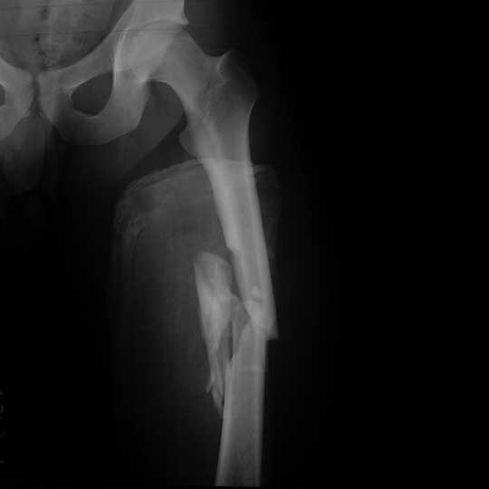
Чуть меньше года назад я попал в сильное ДТП, результатом чего стал закрытый многооскольчатый перелом бедренной кости со смещением (зрелище не из приятных скажу я вам и по ощущениям в принципе тоже).
Так как я из небольшого посёлка на краю нашей России-матушки - первое предложение поступившее от врача было ампутацией , но я не сдавался и добивался все 3 недели что

Начну с не большой предыстории.

Чуть меньше года назад я попал в сильное ДТП, результатом чего стал закрытый многооскольчатый перелом бедренной кости со смещением (зрелище не из приятных скажу я вам и по ощущениям в принципе тоже).

Снимок после аварии
Снимок после аварии

Так как я из небольшого посёлка на краю нашей России-матушки - первое предложение поступившее от врача было ампутацией , но я не сдавался и добивался все 3 недели что лежал на "растяжке" перевода в больницу областного центра.

Растяжка
Растяжка

И всё же я добился успеха меня перевели и сделали операцию.

После операции врачи не давали никаких надежд на то ,что я смогу ходить как раньше не хромая.

По приезду в свой посёлок я начал задаваться вопросом а что же мне пить или мазать ,чтобы кость срасталась быстрее.

Наслушавшись много разных советов от "мочиться на ногу" и вплоть до того чтобы есть сырые кости животных ,я решил отойти от народной медицины.

По началу пил Кальций D3.

Кальций-Д3 Никомед Форте
Кальций-Д3 Никомед Форте

Удовольствия и как я ощущал по себе пользы от этого было не много.

А когда эта баночка и вовсе закончилась я решил поискать что-нибудь по приятнее и полезнее.

Наткнулся на один довольно доступный и простой рецепт:

Берём самый обычный творог(на своё усмотрение хотите домашний ,хотите с магазина), количество тоже не важно.

Добавляем в него мёд и крошим орехи( если любите красиво кушать сверху можно оставить несколько цельных).

Творог с мёдом и орехами
Творог с мёдом и орехами

И был у меня ещё один способ потребления кальция ,но уже менее приятный:

Перебирая скорлупа
Перебирая скорлупа

Мы же многие любим на завтрак яичницу или омлет, а что мы делаем со скорлупой ?

Правильно как правило мы её выбрасываем, хотя это самый настоящий источник кальция, да-да.

Так что перед тем как готовить себе завтрак ,хорошо помойте куриные яйца под проточной водой , а потом вымойте скорлупу изнутри от белка . После этого просто перетрите её и всё ,вот вам и кальций.

Вот я и поделися с вами рецептами которые меньше чем за пол года поставили меня на ноги, а сейчас я вовсе не хромаю.