Найти в Дзене
Войти
1,0×
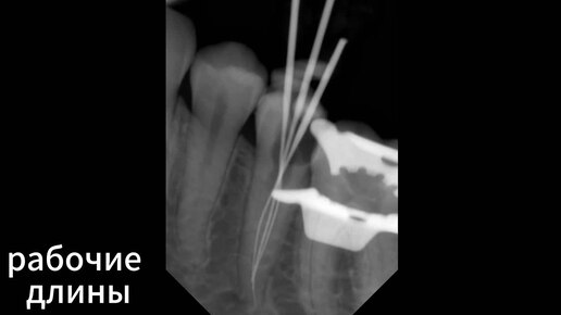
Аномалия - 3 канала в нижнем 5 зубе, сложная эндодонтия Стоматология Parodent, СПб
2091 просмотр · 11 месяцев назад
00:00
/
01:32
Parodoctor
36,1 тыс подписчиков
Подписаться
Хотите видеть больше публикаций по теме «Здоровье и медицина»?
Давайте
Здоровье и медицина
3,97 млн интересуются
Следить за темой
2646513550.762.1776704522625.59906