Найти в Дзене
Войти
1,0×
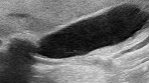
Блокирующий конкремент в шейке желчного пузыря (УЗИ)
1182 просмотра · 1 год назад
00:00
/
03:17
УЗИ с Михаилом Котиным
319 подписчиков
Подписаться
Хотите видеть больше публикаций по теме «Здоровье и медицина»?
Давайте
Здоровье и медицина
3,97 млн интересуются
Следить за темой
2833468565.952.1776827503487.43350