Найти в Дзене
Войти
1,0×
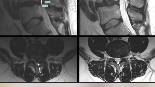
Результаты лечения крупной межпозвонковой грыжи в нашем центре
317 просмотров · 3 года назад
00:00
/
02:21
Evolutis Clinic
50 тыс подписчиков
Подписаться
Хотите видеть больше публикаций по теме «Здоровье и медицина»?
Давайте
Здоровье и медицина
3,97 млн интересуются
Следить за темой
3067853769.780.1776002517802.34429