Найти в Дзене
Войти
1,0×
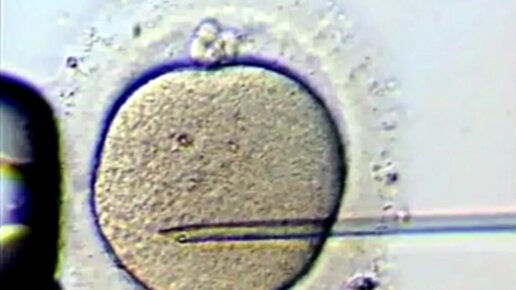
Посмотрите, как происходит искусственное оплодотворение яйцеклетки
1,07 млн просмотров · 5 лет назад
00:00
/
00:59
Северный маяк | Наука и природа
54,4 тыс подписчиков
Подписаться
Хотите видеть больше публикаций по теме «Здоровье и медицина»?
Давайте
Здоровье и медицина
3,97 млн интересуются
Следить за темой
1725883881.1995.1766590364529.15891