Найти в Дзене
Закреплено автором
ProЗубы
История одной улыбки
3 года назад
🎄 НОВОГОДНИЙ РОЗЫГРЫШ в стоматологии PROЗУБЫ в центре Сочи
🎄 НОВОГОДНИЙ РОЗЫГРЫШ в стоматологии PROЗУБЫ в центре Сочи! 🎁 Мы решили порадовать вас перед праздниками и разыграть три классных подарка, которые точно сделают вашу улыбку счастливее! 💎 Главный приз — БЕСПЛАТНАЯ профессиональная гигиена полости рта 2️⃣приз — сертификат на 3000₽ на любые услуги клиники 3️⃣приз — сертификат на 2000₽ на любые услуги клиники. * Сертификаты не подлежат обмену на дen’ги 😉 Хотите выиграть? Всё очень просто: 1️⃣ Подпишитесь на наши аккаунты в TELEGRAM и ЗАПРЕТГРАМЕ...
3 дня назад
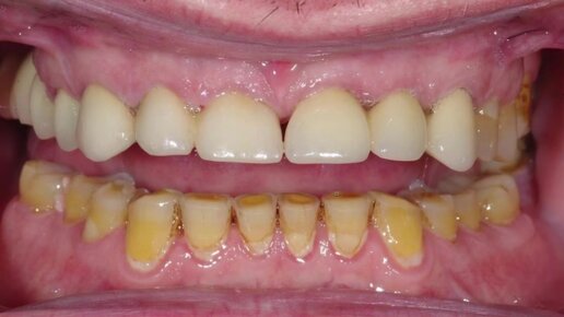
КЕЙС 🦷 ДО-ПОСЛЕ
КЕЙС 🦷 ДО-ПОСЛЕ На верхнем части фотографий, вы видите, как выглядел случай пациента до начала лечения: сильное сужение обеих челюстей, выраженный дефицит места для клыков и 2 класс по Энглю 🤐 🧑‍⚕️ После комплексного ортодонтического лечения мы добились 1 класса, расширили верхнюю и нижнюю челюсть, и теперь все зубы стоят ровно там, где...
6 дней назад
Приветствуем
Приветствуем! ✨ На связи клиника ProЗубы — команда специалистов, которая делает стоматологию понятной, комфортной и предсказуемой для каждого пациента 🙌 🧠 Почему выбирают нас? В ProЗубы работают грамотные специалисты с большим опытом, которые много лет практикуют вместе и придерживаются одного подхода к лечению. Что это означает? 🔸 Все врачи понимают ваш план лечения — от первого визита до финального результата. 🔸 Никаких «разрозненных мнений» — когда один врач не понимает, что делал другой. 🔸 Нет задержек и переделок. Мы осознанно выстроили систему, где все процессы связаны, и вы точно...
1 неделю назад
Очередная командная работа специалистов нашей клиники👨‍⚕️👩‍⚕️ ⠀
Жалобы пациента: ▪️ не устраивал цвет зубов ▫️эстетика улыбки ▪️кариес, кисты ▫️отсутствие зубов ▪️нарушен прикус Было проведено: ▪️лечение кариеса и перелечивание корневых каналов ▫️лечение на брекетах ▪️имплантация ▫️коррекция десны ▪️установили 28 e...
2 года назад
Обезболивание в детской стоматологии❗️ Здесь хотим поговорить не о седации, и не о медикаментозном сне. ⠀ А о местной анестезии, которой так любят пренебрегать детские врачи. ⠀ Очень часто мы слышим от родителей- «нам лечили зубы без анестезии». И честно говоря, когда наши врачи такое слышат, им становится мягко говоря плохо. ⠀ Почему❓ А потому что молочные зубы- это такие же зубы как и постоянные, у них есть корни и пульпа, то есть нерв! Из чего делаем вывод, что молочные зубы точно так же чувствуют боль при лечении. ⠀ Так почему же детям не больно, когда им лечат зубы❓ Ответ прост и ужасен одновременно. В большинстве случаев кариес просто не убирается до конца, потому что ребёнку становится больно, и сверху лепится пломба. А потом такие дети приходят, и у них под пломбами чёрные, разрушенные зубы, которые как правило идут на удаление. Да, мы можем понять обоснованность лечения без анестезии, когда кариес поверхностный и в пределах эмали. Да вот только у молочных зубов есть особенность - кариес очень быстро развивается, уходит в глубокие слои зуба (в дентин)- поэтому как правило, на детском приеме говорить о поверхностном кариесе не приходится. ⠀ Дай бог, чтобы не было пульпита, как говорится. А это значит, что для качественного лечения анестезия просто необходима. Если ребёнок маленький - не высидит/ не адаптирован/ негативный опыт - тогда необходим наркоз или седация. ⠀ Но лучше так, чем потом разгребать последствия такого «лечения».
2 года назад
Дарим бесплатный гайд!!! -«А эта паста хорошая, посмотрите пожалуйста?» ⠀ -«Почему у меня во рту жжёт и покраснело?» ⠀ -«Я прочитала, что фтор опасен для зубов и вообще яд!» ⠀ -«С какого возраста и какой пастой чистить зубы?» ⠀ И ещё много много много вопросов 😆 ⠀ Так вот, чтобы облегчить вам (а заодно и нам 😂) жизнь, мы сделали бесплатный гайд по выбору паст - пока только говорим про детские пасты, со взрослыми разберемся немного позже. ⠀ В этом гайде будут самые ходовые пасты, которые мы всегда рекомендуем пациентам, но самое главное - там будут изложены принципы, зная которые, вы никогда не ошибётесь в выборе паст, потому что научитесь читать состав. ⠀ Гайд будет постоянно дополняться! prozubysochi.ru/...ide ⠀ Engoy! 🤩🤩🤩
2 года назад
Есть ли связка между здоровьем и зубами❓Конечно❗️ ⠀ Приведем простой пример: ⠀ Очень часто проблемы, которые мы идем решать в косметологию - могут быть вызваны проблемами с прикусом, отсутствием зубов или тем, что у нас изменилась высота прикуса. ⠀ Зубы могут повлиять на глубину носогубных складок, поплывший овал лица, раннее появление морщин и так далее. В нашем организме все взаимосвязано и просто «закамуфлировать» это не получится. ⠀ Это же и работает и в случае с детьми! Если у вашего ребенка никогда не было кариеса и вдруг появилось сразу несколько, или в раннем возрасте начали разрушаться зубы, необходимо найти причину его появления. ⠀ Причин, на самом деле, может быть великое множество, и далеко не всегда это сладкое и плохая гигиена. Работает это и в обратную сторону. Проблемы с зубами влияют на обстановку в кишечнике, на иммунитет, на ЛОР-органы ребёнка. И в итоге что мы получаем? А получаем мы своеобразный замкнутый круг, где становится сложно разобраться какая проблема первична. ⠀ Но есть хорошие новости. Всё это - вовсе не безнадежная ситуация. Можно скорректировать проблему достаточно легко, главное понимать, что делать и в какой последовательности. ⠀ Поначалу может быть не очень легко, но задача специалистов нашей клиники @prozuby как раз и состоит в том, чтобы направить вас и помочь сориентироваться в лечении. ⠀ С любовью, Прозубы 🖤
2 года назад
ИЗ МИРА НАУКИ
⠀ В 2013 году Американские пародонтологи из Университета штата Огайо сделали интересное открытие: они доказали, что по бактериальному составу ротовой полости можно определить этническую принадлежность человека. ⠀ Ученые установили, что не только уход за гигиеной зубов определяет, какие бактерии во рту выживают, а какие погибают. За это также отвечает генетика. ⠀ Вместе с тем доказано, что набор бактерий в ротовой полости у каждого человека абсолютно уникален - буквально как отпечатки пальцев или сетчатка глаза...
2 года назад
Опасные компоненты в зубных пастах!
⠀ Сохраняйте себе чтобы не потерять: ⠀ SLS - лаурил сульфат натрия, пенообразователь. Раздражает слизистую, может вызвать сухость слизистой, аллергические реакции, афтозный стоматит. ⠀ Если паста жжет во рту, то это он - МЕТИЛПАРАБЕН, консервант, потенциальный канцероген, аллерген. Может вызвать эндокринные нарушения. ⠀ ПРОПИЛПАРАБЕН - (консервант)токсичен, аллерген...
2 года назад
Отсутствие зубов и как следствие - щели между зубами.
Жалобы: ⠀ ✔️темный цвет зубов ✔️отсутствие зубов ✔️щели между зубами ✔️кисты и кариес ⠀ Было проведено: ⠀ ✔️имплантация в области отсутствующих зубов ✔️лечение кариеса и кист ✔️замена старых реставраций ✔️установлено...
171 читали · 2 года назад