ПНИПУ: создана первая в России платформа для производства элайнеров
Ученые Пермского Политеха создали первую в России универсальную платформу для производства элайнеров.Газета.Ru
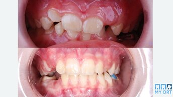
Элайнеры — прозрачные съемные капы для выравнивания зубов — стали популярной альтернативой брекетам, но пока остаются недоступными для большинства россиян.Газета.Ru
По расчетам специалистов, полный курс обойдется около 49 тысяч рублей, что сделает ортодонтическую помощь доступной для десятков миллионов россиян.Газета.Ru
«Внедрение новой технологии станет серьезным шагом к доступной стоматологии и позволит России сократить зависимость от импортных решений», - подчеркивают эксперты.НИА-Хакасия
Больше — у авторов Дзена
Плюсы и минусы ретенционной капы после брекетов
Когда ортодонтия заходит в тупик: «быстро и весело» лечение не работает. Часть третья
Элайнеры — одобрено экспертом, выбрано человеком!
Длительность исправления прикуса
Исправили открытый прикус за полгода‼️novodenta.ru
КАК НЕ ОШИБИТЬСЯ С ВЫБОРОМ ОРТОДОНТА?
Распаковка и установка элайнеров глазами пациента - главного врача стоматологии
Эластичная каппа: опыт исправления дистального прикуса у 7‑летней девочки. Реальный кейс врача-ортодонта
МОЖНО ЛИ НЕ ЛЕЧИТЬ НЕПРАВИЛЬНЫЙ ПРИКУС?
Исправление прикуса у взрослого пациента с использованием ортодонтической аппаратуры ДО и ПОСЛЕ