Mirror: сбой цикла у 27-летней девушки оказался симптомом рака мозга

Однако, врачи, проанализировав результаты теста, выявили отклонения в уровнях половых гормонов — тестостерона и пролактина.Ридус
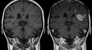
27-летняя британка Оливия Макни долго игнорировала нерегулярные менструации, связанные с эндометриозом и СПКЯ.Царьград
Положение опухоли оказывает воздействие на уровень пролактина, вызывая нарушения менструального цикла и бесплодие.Царьград
Макни также страдает от синдрома постуральной ортостатической тахикардии, который вызывает сильное головокружение при вставании.Общественная служба новостей
Эта новость в СМИ