Как восьмерки влияют на другие зубы?
Почему нам не расстаться с восьмерками? Мой опыт.
Свои личные отношения с 8-ми зубами я проработала давно - мы уживаемся, пока зло дремлет. Но когда-то, по глупости, руки чесались от них избавиться. Почему так категорична сейчас? Потому что в моем конкретном случае нет смысла в лишней травме. Серьезной операции. Да просто мне себя жалко😁 В университетские времена, как только закончилась всякая недовысшая (а у медиков иначе и не скажешь) математика, физика и философия, пошли занятия взрослые. Хирургическая стоматология в настоящей поликлинике, с практикующими врачами...
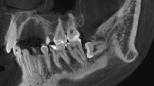
Один зуб, много проблем: что случается, если не удалить восьмёрку вовремя
Зубы мудрости — они же восьмёрки, они же «подарок эволюции», о котором большинство мечтает поскорее избавиться.
Но всё ли так просто? Надо ли удалять их всем подряд? Или, наоборот, стоит бороться за каждый «родной» зуб до последнего? Разбираемся, когда зубы мудрости действительно стоит удалить, а также какие последствия ждут, если игнорировать проблему. Это третьи моляры, которые прорезаются последними — обычно в возрасте от 17 до 25 лет. Но часто бывает так, что: Если зуб не выходит полностью, он может «застрять» в кости и вызывать хроническое воспаление — ретенцию...