1593 читали · 3 года назад
Тромбоциты. Что за клетки? Почему повышены или понижены? Что делать если анализ не в норме?
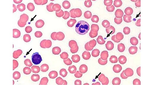
"Доктор, а у меня почему-то высокие тромбоциты", "Результат вроде нормальный, но вот тромбоциты...", " Валерия Владимировна, помогите поднять тромбоциты!" Вот такие сообщения приходят мне в последнее время. Итак, рассказываю всё как есть про эти клетки и их определение. Тромбоциты-это клетки крови, которые запускают процесс свёртывания крови и образования сгустка. Они способны менять проницаемость капилляров, а ещё - вызывать агглютинацию (склеивание). Существует ряд состояний, при которых уровень этих клеток меняется...
858 читали · 1 месяц назад
Какие нормы у анализов крови и что значат изменения в результатах
Каждый из нас хотя бы раз в жизни сдавал анализ крови. Кто-то делает это регулярно, кто-то — только когда болеет. Результат приходит: листок с кучей непонятных слов, цифр и странных сокращений. Гемоглобин, лейкоциты, СОЭ, тромбоциты… Что всё это значит? Почему одни показатели повышены, другие — понижены? И насколько это серьёзно? Многие бегут с этим листком к поисковику, пугаются диагнозов, которые "нашли" в интернете, или, наоборот, списывают всё на «усталость» и не обращают внимания. А зря. Анализ...
4 года назад
Повышенные и сниженные тромбоциты в крови
Тромбоциты — основа нашей свёртывающей системы. Чем грозит избыток и недостаток «кровяных пластинок»? На нашем портале вы можете найти полезные сведения о том, как самостоятельно расшифровать показатели в общем и биохимическом анализах, а также в липидном профиле. В этот раз доктор Федоров отвечает на вопросы об уровне тромбоцитов в крови. Если у вас остались свои вопросы, вы можете задать их, воспользовавшись сервисом Доктис. Способность крови свёртываться – одна из основ жизни. Ведь если бы этот механизм не был заложен, любая, самая незначительная рана, становилась смертельно опасной...
104 читали · 2 года назад
20 фактов про тромбоциты
1. Тромбоциты, также известные как тромбоциты, - это небольшие фрагменты клеток в крови. 2. Они играют важнейшую роль в свертывании крови и реакции на травмы. 3. Тромбоциты вырабатываются в костном мозге из крупных клеток, называемых мегакариоцитами. 4. Тромбоциты участвуют в процессе коагуляции, помогая образовывать тромб при повреждении кровеносного сосуда. 5. Низкий уровень тромбоцитов, известный как тромбоцитопения, может увеличить риск кровотечений и синяков. 6. Увеличение количества тромбоцитов, известное как тромбоцитоз, может повысить риск образования тромбов и тромбоза...