На прогулке от холода "онемели" ноги! 🦵😱Рентген шеи показал... 🤫🤔 Показываю обновки! 👍💣🩵
Как подготовиться к рентгену шеи...
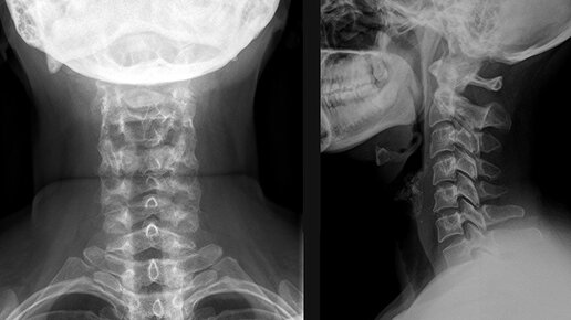
Для чего назначают рентген шейного отдела позвоночника? Шейный отдел – это самая незащищенная область позвоночника. А сидячий образ жизни, свойственный современному человеку, имеет сильное негативное влияние на эту область. А так как этот отдел позвоночника, является самым подвижным, то этот отдел наиболее подвержен различным повреждениям и снижению двигательной функции. Нарушения в шейном отделе могут повлиять на работу головного мозга, органов зрения и слуха. Сделать правильную диагностику различных нарушений, поможет рентгенография шейного отдела позвоночника...
Рентген шейного отдела позвоночника — что показывает и как его делают
При возникновении подозрения на травму или для диагностирования патологического процесса пациентам назначают рентген шейного отдела позвоночника. Он позволяет увидеть любые изменения в опорно-двигательном аппарате. Данный метод диагностики наиболее распространен, ведь необходимое рентгенологическое оборудование есть в каждой поликлинике. Преимущества проведения рентгена Рентген – распространенный и недорогой способ определения патологий опорно-двигательного аппарата. Он популярен при выявлении патологических процессов в позвоночнике, грудном отделе и шее...