06:44
1,0×
00:00/06:44
735,1 тыс смотрели · 4 года назад
2 года назад
Ребёнок рассёк уздечку: что делать?
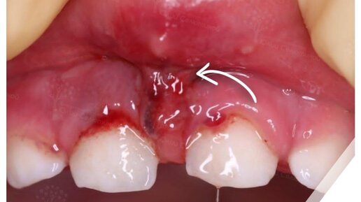
Иногда случаются такие травмы, при которых .... Ничего. Делать. Не нужно. Доктор, вы меня пугаете, как же так? Ситуация следующая: ребенок упал и рассек уздечку верхней губы. Она просто немного оторвалась в месте ее прикрепления к десне. Да, есть ранка. Да, нужно обработать ее антисептиком (Мирамистин, Хлоргексидин). Да, потом нужно будет мазать заживляющими средствами (Холисал, облепиховое масло, Асепта гель, Солкосерил дентальный). Но ничего глобального в стоматологическом, ортодонтическом и даже хирургическом плане делать не нужно...
629 читали · 2 года назад
Подрезание короткой уздечки языка у ребенка
Такие анатомические образования представляют собой тончайшие складки слизистой оболочки, которые соединяют подвижные губы и язык с неподвижными частями полости рта: деснами и подъязычным пространством. Всего во рту у 👶малыша находится три уздечки: Несмотря на свои незначительные размеры, такие слизистые складки имеют большое значение в жизни человека. У новорожденного они отвечают за правильное прикладывание к соску матери. У малышей постарше уздечки участвуют в правильном произношении звуков и в формировании нормального прикуса...