Пародонтоз. Лечение пародонтоза.
Пародонтоз: симптомы, лечение, профилактика
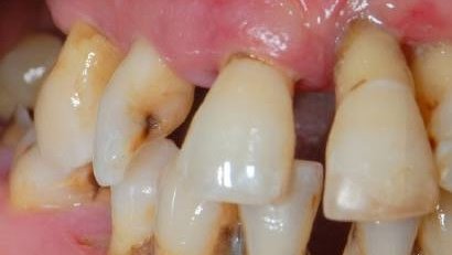
Содержание • Что такое пародонтоз • Симптомы пародонтоза • Отличия пародонтоза и пародонтита • Диагностика пародонтоза • Лечение пародонтоза • Профилактика пародонтоза Что такое пародонтоз Чувствительность к горячей, холодной или сладкой пище, зубы, оголённые больше, чем обычно, бледные дёсны. Жевать твёрдую пищу становится сложнее, кусочки еды попадают в увеличившиеся щели между зубами, появляется неприятный запах изо рта. Зубы слегка или даже сильно шатаются, но никакого воспаления нет, дёсны не кровоточат...
Лечение пародонтоза народными средствами
Пародонтоз – это заболевание невоспалительного характера, которое поражает пародонт. Это приводит к ее истощению, атрофии, истончению околозубной костной ткани и повышенной подвижности зубов. Развивается недуг в результате различных неблагоприятных факторов, которые нарушают циркуляцию крови и питание тканей в деснах, а также процесс регенерации клеток. Протекает, как правило, безболезненно и практически бессимптомно. Особенность заболевания – общая локализация, то есть недуг поражает сразу все зубы...