Почему десна «уходит»? Первым делом проверь биотип и сделай ЭТО...
Почему уходит десна и оголяются корни зубов: простые причины, о которых мало кто знает
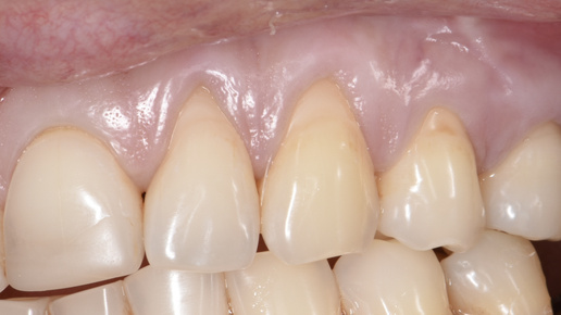
Почему обнажается десна и появляются «длинные зубы»: простое объяснение и реальные причины Обнажение корней зубов — или то, что мы в медицине называем рецессией десны — встречается намного чаще, чем люди думают. Практически каждый второй пациент приходит с жалобой «у меня уходит десна» или «зуб стал длиннее». Причин много, но есть несколько основных, которые я вижу в практике каждый день. 1. Давление на щётку и неправильная техника чистки Это самая частая причина. Не столько сама чистка, сколько давление на щётку...
Почему опускаются десны и как это предотвратить
Рассказывает Сафронова Виктория — врач-стоматолог-хирург «Семейной стоматологии Михаила Агами» (AMBC), имплантолог, пародонтолог. Когда пациенты впервые замечают, что зубы будто стали длиннее, они думают: «Наверное, так и должно быть, возраст». Но причина в другом — десна уходит вниз, оголяя корни зубов. В стоматологии это называется рецессия десен. Важно понимать: десны — это не волосы и не ногти. Они не «отрастают» обратно, если ушли. Но замедлить процесс или предотвратить его развитие реально...
Почему опускаются десны и как это предотвратить
Когда пациенты впервые замечают, что зубы будто стали длиннее, они думают: «Наверное, так и должно быть, возраст». Но причина в другом — десна уходит вниз, оголяя корни зубов. В стоматологии это называется рецессия десен. Важно понимать: десны — это не волосы и не ногти. Они не «отрастают» обратно, если ушли. Но замедлить процесс или предотвратить его развитие реально. Почему возникает рецессия? — Неправильная чистка. Если вы чистите зубы жесткой щеткой и «со всей силы», десна постепенно уходит. Это как тереть ткань наждачкой — долго она не выдержит...