Кесарево сечение или естественные роды: что больнее, опаснее и тяжелее в восстановлении
Чем опасен рассеянный склероз и причины его возникновения.
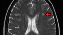
Все действия, которые выполняет человек, так или иначе, связаны с нервными импульсами, которые посылает головной мозг. Данные импульсы поступают в нужное место посредством нервных тканей, но что будет, если организм подвергнется такому заболеванию, как рассеянный склероз? Нервные клетки начнут постепенно разрушаться и становиться не в состоянии качественно выполнять свою работу в результате у больного может ухудшиться зрение, чувствительность и координация, а как же жить с такими симптомами? Обо...
Почему постулаты ОПАСНЫ для физики?
Сразу хочу сказать, что целью этой заметки не является беспощадная критика существующей физической парадигмы и нет никакого желания говорить, что физика - это не наука. Это очень даже наука, поскольку множество подходов, которые мы используем, находят практическое применение и вполне себе работают. Но при этом некоторые вещи полезно рассматривать в ином свете. При этом многие тогда и правда лишаются почвы под ногами. Есть в физике (да и в научной среде) такое понятие, как "постулат". Вы наверняка слышали такие выражения как постулаты Бора или постулаты Эйнштейна в теории относительности...