6295 читали · 2 года назад
Расти, эндометрий!
Д. Тему «тонкого эндометрия» можно поднимать бесконечно. Думаю, надо разобрать этот вопрос на уровне анатомии и физиологии, и тогда всем все станет понятно. Давайте начнем с самого начала цикла, с его первой фазы. Первая фаза цикла существует для того, чтобы собрать в яичниках группу фолликулов и отправить их в рост. В процессе своего роста фолликулы вырабатывают женский половой гормон - эстрадиол. Это строительный гормон. Он начинает создавать в организме женщины каркас для будущей беременности...
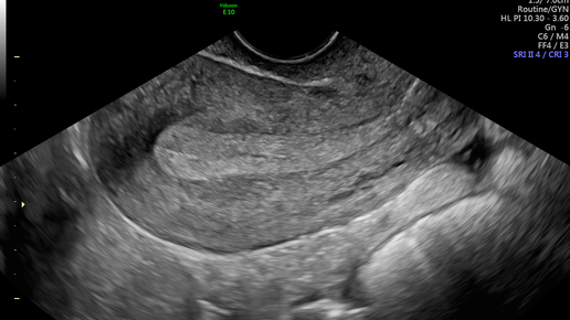
Почему не растет эндометрий
Эндометрий — это слизистая оболочка матки, которая создает оптимальные условия для имплантации эмбриона. Она состоит из двух слоев: верхнего функционального, который отторгается каждый месяц вместе с менструацией, и нижнего базального, который является своего рода фундаментом для верхнего. Как растет эндометрий Толщина эндометрия постоянно меняется в течение цикла в ответ на гормоны. В первой его части яичники вырабатывают эстрогены, которые влияют на эндометрий, стимулируя его рост. А после овуляции,...
2918 читали · 5 месяцев назад
Почему после менопаузы вдруг начал увеличиваться/расти эндометрий? С чем это связано?
Мой ответ: яичники вырабатывают и эстрогены, и прогестерон. Эстрогены заставляют эндометрий расти, а прогестерон сдерживает рост эндометрия. Перед менопаузой яичники дают сбой. От этого может нарушиться баланс эстрогенов и прогестерона. Если эстрогенов относительно больше, то эндометрий растет. Плюс, эстрогены могут вырабатываться жировой тканью вообще без всяких яичников. У прогестерона это плохо получается. Плюс, месячные могут прекратиться, и наросший эндометрий не отваливается, а только утолщается...