06:44
1,0×
00:00/06:44
834 тыс смотрели · 4 года назад
12,1 тыс читали · 6 лет назад
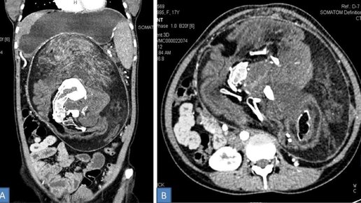
Эмбрион в эмбрионе: 17 лет девушка жила с "близнецом" внутри себя
В течение почти двух десятилетий молодая женщина из Индии жила с одним из самых редких и необычных медицинских состояний. В животе пациентки находился мешок, содержащий её "близнеца". У последнего имелись волосы, зубы и даже позвоночник. Что удивительно, сама девушка о нём не подозревала. Такое состояние известно как утробный плод в плоде. Речь идёт об аномалии, при которой внутри организма одного плода имеется масса тканей, напоминающая плод. Считается, что такая аномалия возникает на раннем этапе монозиготной беременности близнецами...