Почему у ребенка чернеют зубы?
Бывают случаи, когда у ребенка не так много зубов, но они уже все желтовато-коричневые, с неровностями и полостями или покрыты белыми матовыми пятнами. Возможно, подобная проблема имеется и у Вашего ребенка. Если это так, необходимо срочно обратиться к врачу! Высока вероятность того, что это «бутылочный» кариес Основная причина «бутылочного» кариеса – привычка давать ребенку перед сном и во время сна: Во время сна выделение слюны замедляется и естественный процесс самоочищения зубов практически не...
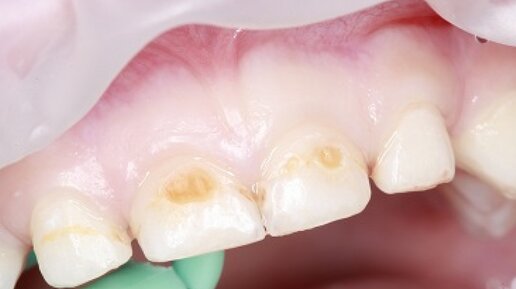
Из-за чего чернеют зубы или темнеет эмаль?
Почернение эмали говорит о серьезных проблемах со здоровьем полости рта. Зубы, индикатор многих серьезных заболеваний. Они могут рассказать даже про уровень иммунитета. В этой статье расскажу – из-за чего эмаль меняет цвет, почему важно предотвратить такие изменения и что делать, если единица потемнела. Часто пациенты сталкиваются с такими ситуациями: Пульпа – это не только нерв, но и кровеносные сосуды, которые питают дентальные ткани. Без питания блокируется доступ к кислороду, а также к полезным элементам, из-за этого постепенно зуб без нерва темнеет...