Слава - Стань сильней
«Нижняя челюсть заблокирована». Как за 2 года исправили сложный дистальный прикус элайнерами без операции
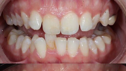
История Алины (имя изменено) началась с того, что она даже не понимала масштаб проблемы. «Просто хочу ровные зубы», — сказала она на первой консультации. Но диагностика показала сложный клинический случай, который требовал не косметической коррекции, а серьезного ортодонтического лечения. Дистальный прикус — нижняя челюсть сильно смещена назад относительно верхней
Заблокированное положение нижней челюсти из-за неправильного наклона верхних зубов
Перекрестное смыкание слева — зубы закрываются «крест-накрест»,...
Нижняя челюсть уходит назад как исправить
Ретрогнатия (или дистальный прикус) – это состояние, при котором нижняя челюсть расположена дальше назад по отношению к верхней челюсти. Это может быть вызвано различными факторами, включая генетику, вредные привычки в детстве (например, сосание пальца) или травмы...