Почему нужно во время удалять молочные зубы?
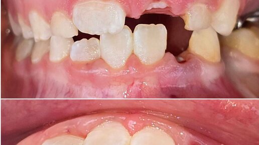
Своевременное удаление молочных зубов — это настоящий помощник в правильном прорезывании постоянных зубов. Когда молочный зуб начинает шататься, не стоит затягивать со встречей с зубной феей — ей нравится работать вовремя! Почему это важно: ~ Дети начинают хуже чистить шатающийся зуб, и на нем вместе с соседями поселяется налет, который может превратиться в кариес. ~ Если молочный зуб упорно не хочет уходить, постоянный прорезывается криво, словно пытается найти лучший выход — смотрите фото...
Дед Мороз и Снегурочка: какие зубы болели у любимых персонажей?
Только представьте себе мир любимых сказочных персонажей глазами дантиста. Страшно, не правда ли? Но мы попробуем и рассмотрим легендарных новогодних героев, чьи улыбки вдохновляют миллионы детей и взрослых каждый год — Дедушку Мороза и его очаровательную внучку Снегурочку. Дедушка Мороз Что же скрывается за белоснежной бородой и доброй улыбкой нашего зимнего волшебника? Во-первых, вспомните традиционные новогодние угощения — пряники, мёд, пирожки. Конечно, дедушке трудно устоять перед этими вкусностями, но увы, избыток сахара крайне негативно влияет на зубы...