Можно ли выровнять зубы без брекетов? Ответ вас удивит!
Как выровнять зубы
Выровнять зубы можно в любом возрасте. Это поможет не только получить голливудскую улыбку, частое образование кариеса, налета, зубного камня.
Выравнивание зубов взрослых возможно благодаря современным методикам лечения.
В этой статье — признаки и причины искривленного прикуса (окклюзии), способы выпрямления нарушений смыкания челюстей. Неправильный прикус Окклюзия развивается до того момента, когда на смену молочным зубам приходят постоянные.
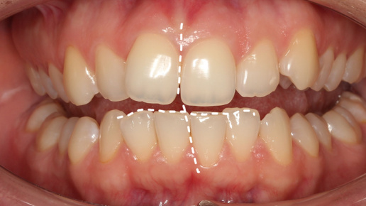
Какие признаки правильного смыкания зубных рядов?...
Как выровнять зубы незаметно для окружающих
В этой статье расскажем, как исправить прикус без пристального внимания со стороны коллег и друзей. Статья будет полезна тем, кто не готов носить брекеты, но хочет выровнять зубы. Подготовить ее нам помогли врачи-ортодонты стоматологической клиники "Авантис". Выровнять зубы незаметно для окружающих можно с помощью элайнеров. Элайнеры - это индивидуальные ортодонтические аппараты, изготавливаемые с применением технологий 3D печати и вакуум-формирования. Элайнеры представляют собой прозрачные полиуретановые каппы, плотно прилегающие к поверхности зубов...