Почему тест на коронавирус занимает так много времени
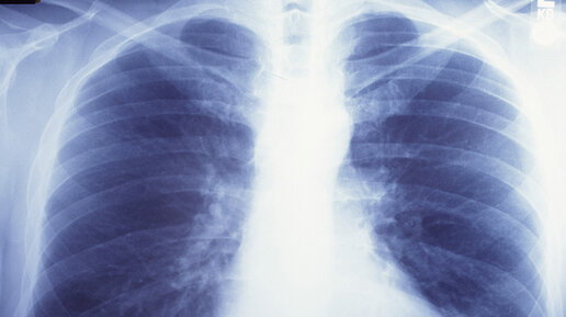
Сможет ли флюорография или рентген показать коронавирус?
На сегодняшний день эпидемия коронавируса набирает внушительные обороты, поэтому каждый человек задумывается о том, как обезопасить себя и в случае возникновения каких-либо неприятных симптомов быстро выполнить все необходимые диагностические процедуры. Основная симптоматика при COVID-19: Дополнительно могут присоединяться такие редкие симптомы, как диарея, тошнота и рвота. У некоторых людей болезнь не сильно отличается от обычной простуды и заканчивается скорейшим выздоровлением, но в некоторых...