7344 читали · 2 года назад
Опасные пломбы. Как распознать бомбу замедленного действия у себя во рту?
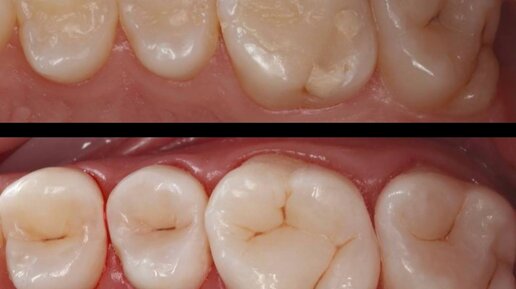
От того, насколько пломба качественная и адекватная по размеру, зависят сроки жизни вашего зуба и даже здоровье рта в целом. Как выглядит нормальная пломба? Нормальную пломбу невозможно обнаружить ни глазом, ни на ощупь. Это анатомически точная реставрация из современного фотополимера. Врач с ювелирной въедливостью восстанавливает фиссуры и бугорки, добиваясь идеального смыкания зуба с его антагонистом на противоположной челюсти. Что такое «пломбы-залипухи»? Когда пломба выглядит как плоская лепешка,...
Современные виды пломб
Пломбировочный материал нужен для того, чтобы восстановить целостность зуба, предупредить разрушение тканей и развитие патогенных бактерий в полости зуба. Не будем здесь говорить про железные пломбы или амальгаму J Поговорим о современных качественных пломбировочных массах. Начнем с самых качественных и надежных: Фотополимерные (светоотверждаемые) Отличное соотношение качества и стоимости! Практично, красиво и долговечно. Материал с помощью умелых рук доктора повторяют природную форму зуба. Состав твердеет под воздействием ультрафиолета специальной лампы...